Telefon:
+49 (0)241 95 163 153
Fax:
+49 (0)241 95 163 155
E-Mail:
orders@antikoerper-online.de

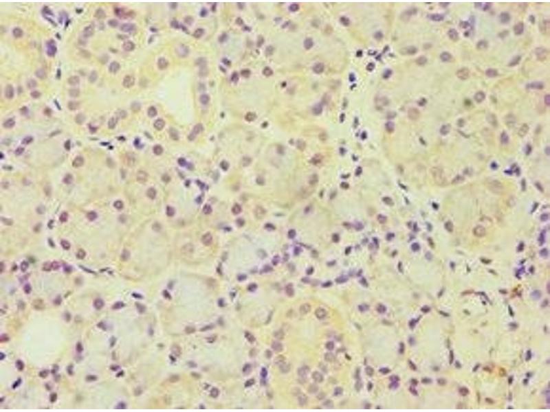
ARF3 Antikörper (AA 1-181)

Dieser Kaninchen Polyklonal Antikörper detektiert spezifisch ARF3 in WB, ELISA und IHC. Es zeigt Reaktivität gegenüber Proben von Human.
Produktnummer ABIN7143446
328,90 €
Zzgl. Versandkosten 20,00 € und MwSt
Lieferung nach: Deutschland
Lieferung in 11 bis 15 Werktagen

Kurzübersicht für ARF3 Antikörper (AA 1-181) (ABIN7143446)

Target

Alle ARF3 Antikörper anzeigen
ARF3 (ADP-Ribosylation Factor 3 (ARF3))

Reaktivität

  • 22
  • 4
  • 4
  • 1
  • 1
  • 1
  • 1
  • 1
  • 1
Human

Wirt

  • 20
  • 2
Kaninchen

Klonalität

  • 20
  • 1
Polyklonal

Konjugat

  • 17
  • 1
  • 1
  • 1
  • 1
  • 1
Dieser ARF3 Antikörper ist unkonjugiert

Applikation

  • 15
  • 9
  • 9
  • 7
  • 7
  • 4
  • 2
  • 2
  • 2
  • 1
  • 1
  • 1
  • 1
  • 1
  • 1
Western Blotting (WB), ELISA, Immunohistochemistry (IHC)
  • Bindungsspezifität

    • 9
    • 2
    • 2
    • 1
    • 1
    • 1
    • 1
    • 1
    • 1
    • 1
    AA 1-181

    Verwendungszweck

    ARF3 Antibody

    Kreuzreaktivität

    Maus

    Aufreinigung

    Antigen Affinity Purified

    Immunogen

    Recombinant Human ADP-ribosylation factor 3 protein (1-181AA)

    Isotyp

    IgG
  • Applikationshinweise

    Optimal working dilution should be determined by the investigator.

    Beschränkungen

    Nur für Forschungszwecke einsetzbar
  • Format

    Liquid

    Buffer

    PBS with 0.02 % sodium azide, 50 % glycerol, pH 7.3.

    Konservierungsmittel

    Sodium azide

    Vorsichtsmaßnahmen

    This product contains Sodium azide: a POISONOUS AND HAZARDOUS SUBSTANCE which should be handled by trained staff only.

    Lagerung

    -20 °C,-80 °C

    Informationen zur Lagerung

    Upon receipt, store at -20°C or -80°C. Avoid repeated freeze.
  • Target

    ARF3 (ADP-Ribosylation Factor 3 (ARF3))

    Andere Bezeichnung

    ARF3

    Hintergrund

    Background: GTP-binding protein that functions as an allosteric activator of the cholera toxin catalytic subunit, an ADP-ribosyltransferase. Involved in protein trafficking, may modulate vesicle budding and uncoating within the Golgi apparatus.

    Aliases: ADP ribosylation factor 3 antibody, ADP-ribosylation factor 3 antibody, ARF3 antibody, ARF3_HUMAN antibody, small GTP binding protein antibody

    UniProt

    P61204

    Pathways

    Inositol Metabolic Process, Cellular Glucan Metabolic Process
Sie sind hier:
Chat with us!