Telefon:
+49 (0)241 95 163 153
Fax:
+49 (0)241 95 163 155
E-Mail:
orders@antikoerper-online.de

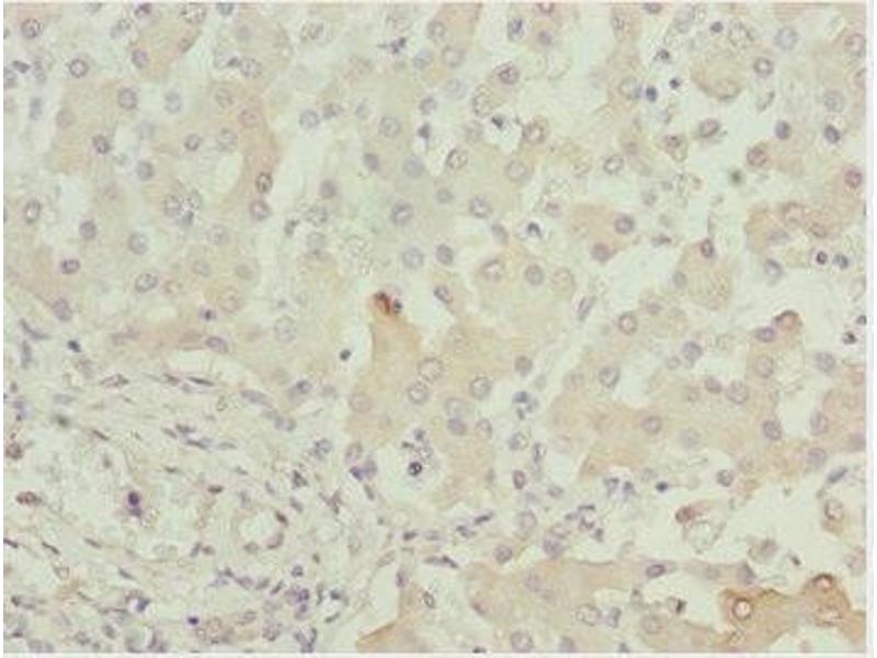
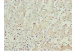
ADPGK Antikörper (AA 218-497)

Dieser Kaninchen Polyklonal Antikörper detektiert spezifisch ADPGK in ELISA und IHC. Es zeigt Reaktivität gegenüber Proben von Human.
Produktnummer ABIN7143434
328,90 €
Zzgl. Versandkosten 20,00 € und MwSt
Lieferung nach: Deutschland
Lieferung in 11 bis 15 Werktagen

Kurzübersicht für ADPGK Antikörper (AA 218-497) (ABIN7143434)

Target

Alle ADPGK Antikörper anzeigen
ADPGK (ADP-Dependent Glucokinase (ADPGK))

Reaktivität

  • 27
  • 18
  • 18
  • 5
  • 4
  • 4
  • 3
  • 3
  • 3
  • 2
  • 1
Human

Wirt

  • 24
  • 3
Kaninchen

Klonalität

  • 25
  • 2
Polyklonal

Konjugat

  • 20
  • 1
  • 1
  • 1
  • 1
  • 1
  • 1
  • 1
Dieser ADPGK Antikörper ist unkonjugiert

Applikation

  • 20
  • 9
  • 7
  • 6
  • 3
  • 3
  • 1
ELISA, Immunohistochemistry (IHC)
  • Bindungsspezifität

    • 4
    • 2
    • 2
    • 2
    • 1
    • 1
    • 1
    • 1
    • 1
    • 1
    • 1
    • 1
    • 1
    AA 218-497

    Verwendungszweck

    ADPGK Antibody

    Aufreinigung

    Antigen Affinity Purified

    Immunogen

    Recombinant Human ADP-dependent glucokinase protein (218-497AA)

    Isotyp

    IgG
  • Applikationshinweise

    Optimal working dilution should be determined by the investigator.

    Beschränkungen

    Nur für Forschungszwecke einsetzbar
  • Format

    Liquid

    Buffer

    PBS with 0.02 % sodium azide, 50 % glycerol, pH 7.3.

    Konservierungsmittel

    Sodium azide

    Vorsichtsmaßnahmen

    This product contains Sodium azide: a POISONOUS AND HAZARDOUS SUBSTANCE which should be handled by trained staff only.

    Lagerung

    -20 °C,-80 °C

    Informationen zur Lagerung

    Upon receipt, store at -20°C or -80°C. Avoid repeated freeze.
  • Target

    ADPGK (ADP-Dependent Glucokinase (ADPGK))

    Andere Bezeichnung

    ADPGK

    Hintergrund

    Background: Catalyzes the phosphorylation of D-glucose to D-glucose 6-phosphate using ADP as the phosphate donor. GDP and CDP can replace ADP, but with reduced efficiency (By similarity).

    Aliases: 2610017G09Rik antibody, ADP dependent glucokinase antibody, ADP GK antibody, ADP-dependent glucokinase antibody, ADP-GK antibody, ADPGK antibody, ADPGK_HUMAN antibody, ATP dependent glucokinase antibody, DKFZP434B195 antibody, RbBP 35 antibody, RbBP-35 antibody

    UniProt

    Q9BRR6
Sie sind hier:
Chat with us!