Telefon:
+49 (0)241 95 163 153
Fax:
+49 (0)241 95 163 155
E-Mail:
orders@antikoerper-online.de

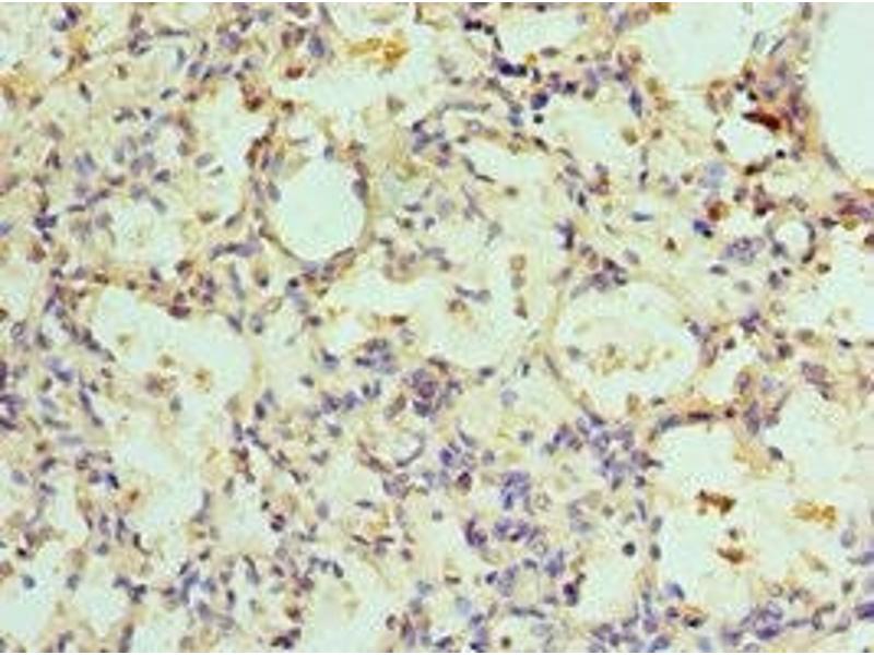
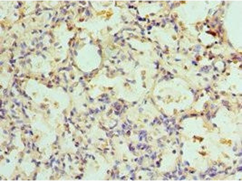
Adenylosuccinate Lyase Antikörper (AA 1-310)

Der Kaninchen Polyklonal anti-Adenylosuccinate Lyase Antikörper (ABIN7143352) detektiert spezifisch Adenylosuccinate Lyase in WB, IHC und ELISA. Dieser Antikörper reagiert spezifisch mit Proben aus Human.
Produktnummer ABIN7143352
328,90 €
Zzgl. Versandkosten 20,00 € und MwSt
Lieferung nach: Deutschland
Lieferung in 11 bis 15 Werktagen

Kurzübersicht für Adenylosuccinate Lyase Antikörper (AA 1-310) (ABIN7143352)

Target

Alle Adenylosuccinate Lyase (ADSL) Antikörper anzeigen
Adenylosuccinate Lyase (ADSL)

Reaktivität

  • 47
  • 22
  • 7
  • 3
  • 2
  • 2
  • 2
  • 1
  • 1
  • 1
  • 1
Human

Wirt

  • 42
  • 5
Kaninchen

Klonalität

  • 43
  • 3
Polyklonal

Konjugat

  • 22
  • 2
  • 2
  • 1
  • 1
  • 1
  • 1
  • 1
  • 1
  • 1
  • 1
  • 1
  • 1
  • 1
  • 1
  • 1
  • 1
  • 1
  • 1
  • 1
  • 1
  • 1
  • 1
  • 1
Dieser Adenylosuccinate Lyase Antikörper ist unkonjugiert

Applikation

  • 19
  • 13
  • 13
  • 10
  • 9
  • 8
  • 8
  • 4
  • 4
  • 3
  • 2
  • 2
  • 2
Western Blotting (WB), Immunohistochemistry (IHC), ELISA
  • Bindungsspezifität

    • 15
    • 11
    • 2
    • 1
    • 1
    • 1
    • 1
    • 1
    AA 1-310

    Verwendungszweck

    ADSL Antibody

    Kreuzreaktivität

    Maus

    Aufreinigung

    Antigen Affinity Purified

    Immunogen

    Recombinant Human Adenylosuccinate lyase protein (1-310AA)

    Isotyp

    IgG
  • Applikationshinweise

    Optimal working dilution should be determined by the investigator.

    Beschränkungen

    Nur für Forschungszwecke einsetzbar
  • Format

    Liquid

    Buffer

    PBS with 0.02 % sodium azide, 50 % glycerol, pH 7.3.

    Konservierungsmittel

    Sodium azide

    Vorsichtsmaßnahmen

    This product contains Sodium azide: a POISONOUS AND HAZARDOUS SUBSTANCE which should be handled by trained staff only.

    Lagerung

    -20 °C,-80 °C

    Informationen zur Lagerung

    Upon receipt, store at -20°C or -80°C. Avoid repeated freeze.
  • Target

    Adenylosuccinate Lyase (ADSL)

    Andere Bezeichnung

    ADSL

    Hintergrund

    Background: Catalyzes two non-sequential steps in de novo AMP synthesis: converts (S)-2-(5-amino-1-(5-phospho-D-ribosyl)imidazole-4-carboxamido)succinate (SAICAR) to fumarate plus 5-amino-1-(5-phospho-D-ribosyl)imidazole-4-carboxamide, and thereby also contributes to de novo IMP synthesis, and converts succinyladenosine monophosphate (SAMP) to AMP and fumarate.

    Aliases: Adenylosuccinase antibody, Adenylosuccinate lyase antibody, ADSL antibody, AMPS antibody, ASase antibody, ASL antibody, OTTHUMP00000199172 antibody, OTTHUMP00000199173 antibody, PUR8_HUMAN antibody

    UniProt

    P30566

    Pathways

    Ribonucleoside Biosynthetic Process
Sie sind hier:
Chat with us!