Telefon:
+49 (0)241 95 163 153
Fax:
+49 (0)241 95 163 155
E-Mail:
orders@antikoerper-online.de

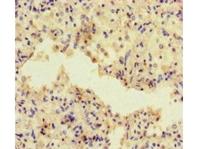
ADCY1 Antikörper (AA 416-610)

Dieser Kaninchen Polyklonal Antikörper detektiert spezifisch ADCY1 in ELISA, IHC und IF. Es zeigt Reaktivität gegenüber Proben von Human.
Produktnummer ABIN7143320
328,90 €
Zzgl. Versandkosten 20,00 € und MwSt
Lieferung nach: Deutschland
Lieferung in 11 bis 15 Werktagen

Kurzübersicht für ADCY1 Antikörper (AA 416-610) (ABIN7143320)

Target

Alle ADCY1 Antikörper anzeigen
ADCY1 (Adenylate Cyclase 1 (Brain) (ADCY1))

Reaktivität

  • 54
  • 39
  • 28
  • 4
  • 1
Human

Wirt

  • 59
  • 2
Kaninchen

Klonalität

  • 59
  • 2
Polyklonal

Konjugat

  • 20
  • 9
  • 6
  • 3
  • 2
  • 2
  • 2
  • 2
  • 2
  • 2
  • 1
  • 1
  • 1
  • 1
  • 1
  • 1
  • 1
  • 1
  • 1
  • 1
  • 1
Dieser ADCY1 Antikörper ist unkonjugiert

Applikation

  • 38
  • 25
  • 17
  • 9
  • 8
  • 7
  • 6
  • 5
  • 1
ELISA, Immunohistochemistry (IHC), Immunofluorescence (IF)
  • Bindungsspezifität

    • 12
    • 4
    • 4
    • 4
    • 3
    • 3
    • 2
    • 2
    • 2
    • 1
    • 1
    • 1
    • 1
    • 1
    • 1
    • 1
    AA 416-610

    Verwendungszweck

    ADCY1 Antibody

    Aufreinigung

    Protein G purified

    Reinheit

    >95 %

    Immunogen

    Recombinant Human Adenylate cyclase type 1 protein (416-610AA)

    Isotyp

    IgG
  • Applikationshinweise

    Optimal working dilution should be determined by the investigator.

    Beschränkungen

    Nur für Forschungszwecke einsetzbar
  • Format

    Liquid

    Buffer

    Preservative: 0.03 % Proclin 300
    Constituents: 50 % Glycerol, 0.01M PBS, PH 7.4

    Konservierungsmittel

    ProClin

    Vorsichtsmaßnahmen

    This product contains ProClin: a POISONOUS AND HAZARDOUS SUBSTANCE which should be handled by trained staff only.

    Lagerung

    -20 °C,-80 °C

    Informationen zur Lagerung

    Upon receipt, store at -20°C or -80°C. Avoid repeated freeze.
  • Target

    ADCY1 (Adenylate Cyclase 1 (Brain) (ADCY1))

    Andere Bezeichnung

    ADCY1

    Hintergrund

    Background: Catalyzes the formation of the signaling molecule cAMP in response to G-protein signaling. Mediates responses to increased cellular Ca(2+)/calmodulin levels (By similarity). May be involved in regulatory processes in the central nervous system. May play a role in memory and learning. Plays a role in the regulation of the circadian rhythm of daytime contrast sensitivity probably by modulating the rhythmic synthesis of cyclic AMP in the retina (By similarity).

    Aliases: Adenylate cyclase 1, fetal brain, type I antibody, 3',5'-cyclic AMP synthetase antibody, AC1 antibody, Adcy1 antibody, ADCY1_HUMAN antibody, adenyl cyclase antibody, Adenylate cyclase 1 antibody, adenylate cyclase 1 (brain) antibody, Adenylate cyclase type 1 antibody, Adenylate cyclase type I antibody, Adenylyl cyclase 1 antibody, ATP pyrophosphate lyase antibody, ATP pyrophosphate-lyase 1 antibody, Brain adenylate cyclase 1 antibody, Ca(2+)/calmodulin-activated adenylyl cyclase antibody, deafness, autosomal recessive 44 antibody, DFNB44 antibody

    UniProt

    Q08828

    Pathways

    EGFR Signaling Pathway, Neurotrophin Signalübertragung, Thyroid Hormone Synthesis, cAMP Metabolic Process, Myometrial Relaxation and Contraction, G-protein mediated Events, Interaction of EGFR with phospholipase C-gamma
Sie sind hier:
Chat with us!