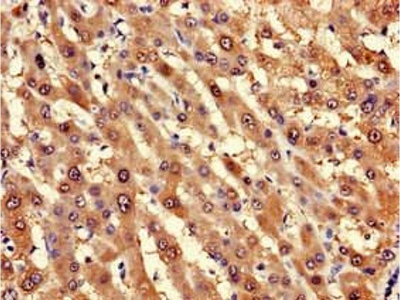
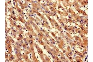
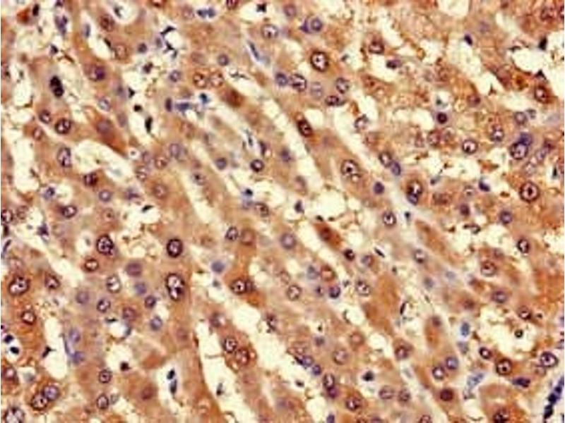
LPGAT1 Antikörper (AA 151-341)
Kurzübersicht für LPGAT1 Antikörper (AA 151-341) (ABIN7143224)
Target
Alle LPGAT1 Antikörper anzeigenReaktivität
Wirt
Klonalität
Konjugat
Applikation
-
-
Bindungsspezifität
- AA 151-341
-
Verwendungszweck
- LPGAT1 Antibody
-
Aufreinigung
- Protein G purified
-
Reinheit
- >95 %
-
Immunogen
- Recombinant Human Acyl-CoA:lysophosphatidylglycerol acyltransferase 1 protein (151-341AA)
-
Isotyp
- IgG
-
-
-
-
Applikationshinweise
- Optimal working dilution should be determined by the investigator.
-
Beschränkungen
- Nur für Forschungszwecke einsetzbar
-
-
-
Format
- Liquid
-
Buffer
-
Preservative: 0.03 % Proclin 300
Constituents: 50 % Glycerol, 0.01M PBS, PH 7.4 -
Konservierungsmittel
- ProClin
-
Vorsichtsmaßnahmen
- This product contains ProClin: a POISONOUS AND HAZARDOUS SUBSTANCE which should be handled by trained staff only.
-
Lagerung
- -20 °C,-80 °C
-
Informationen zur Lagerung
- Upon receipt, store at -20°C or -80°C. Avoid repeated freeze.
-
-
- LPGAT1 (Lysophosphatidylglycerol Acyltransferase 1 (LPGAT1))
-
Andere Bezeichnung
- LPGAT1
-
Hintergrund
-
Background: Lysophosphatidylglycerol (LPG) specific acyltransferase that recognizes various acyl-CoAs and LPGs as substrates but demonstrates a clear preference for long chain saturated fatty acyl-CoAs and oleoyl-CoA as acyl donors. Prefers oleoyl-LPG over palmitoyl-LPG as an acyl receptor and oleoyl-CoA over lauroyl-CoA as an acyl donor.
Aliases: Acyl CoA:lysophosphatidylglycerol acyltransferase 1 antibody, Acyl-CoA:lysophosphatidylglycerol acyltransferase 1 antibody, FAM34A antibody, FAM34A1 antibody, Family with sequence similarity 34 member A antibody, KIAA0205 antibody, LGAT1_HUMAN antibody, Lpgat1 antibody, lysophosphatidylglycerol acyltransferase 1 antibody, NET8 antibody
-
UniProt
- Q92604
Target
-