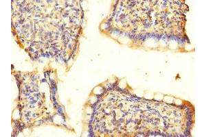
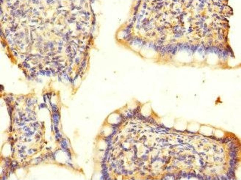
ACCN5 Antikörper (AA 140-330)
Kurzübersicht für ACCN5 Antikörper (AA 140-330) (ABIN7143005)
Target
Alle ACCN5 Antikörper anzeigenReaktivität
Wirt
Klonalität
Konjugat
Applikation
-
-
Bindungsspezifität
- AA 140-330
-
Verwendungszweck
- ASIC5 Antibody
-
Aufreinigung
- Antigen Affinity Purified
-
Immunogen
- Recombinant Human Acid-sensing ion channel 5 protein (140-330AA)
-
Isotyp
- IgG
-
-
-
-
Applikationshinweise
- Optimal working dilution should be determined by the investigator.
-
Beschränkungen
- Nur für Forschungszwecke einsetzbar
-
-
-
Format
- Liquid
-
Buffer
- PBS with 0.02 % sodium azide, 50 % glycerol, pH 7.3.
-
Konservierungsmittel
- Sodium azide
-
Vorsichtsmaßnahmen
- This product contains Sodium azide: a POISONOUS AND HAZARDOUS SUBSTANCE which should be handled by trained staff only.
-
Lagerung
- -20 °C,-80 °C
-
Informationen zur Lagerung
- Upon receipt, store at -20°C or -80°C. Avoid repeated freeze.
-
-
- ACCN5 (Amiloride-Sensitive Cation Channel 5, Intestinal (ACCN5))
-
Andere Bezeichnung
- ASIC5
-
Hintergrund
-
Background: Cation channel that gives rise to very low constitutive currents in the absence of activation. The activated channel exhibits selectivity for sodium, and is inhibited by amiloride.
Aliases: Acid-sensing ion channel 5 antibody, amiloride sensitive cation channel 5, intestinal antibody, Amiloride sensitive sodium channel antibody, Amiloride-sensitive cation channel 5 antibody, ASIC5 antibody, ASIC5_HUMAN antibody, HINaC antibody, Human intestine Na(+) channel antibody, INAC antibody
-
UniProt
- Q9NY37
Target
-