Telefon:
+49 (0)241 95 163 153
Fax:
+49 (0)241 95 163 155
E-Mail:
orders@antikoerper-online.de

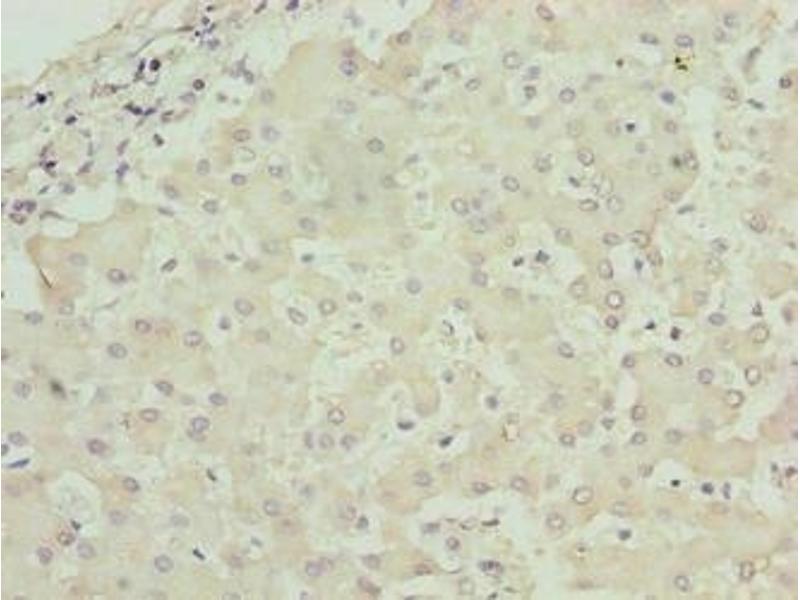
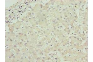
RPL7L1 Antikörper (AA 1-246)

Der Kaninchen Polyklonal anti-RPL7L1 Antikörper (ABIN7142833) detektiert spezifisch RPL7L1 in ELISA und IHC. Dieser Antikörper reagiert spezifisch mit Proben aus Human.
Produktnummer ABIN7142833
328,90 €
Zzgl. Versandkosten 20,00 € und MwSt
Lieferung nach: Deutschland
Lieferung in 11 bis 15 Werktagen

Kurzübersicht für RPL7L1 Antikörper (AA 1-246) (ABIN7142833)

Target

Alle RPL7L1 Antikörper anzeigen
RPL7L1 (Ribosomal Protein L7-Like 1 (RPL7L1))

Reaktivität

  • 11
  • 2
  • 1
Human

Wirt

  • 11
Kaninchen

Klonalität

  • 11
Polyklonal

Konjugat

  • 7
  • 2
  • 1
  • 1
Dieser RPL7L1 Antikörper ist unkonjugiert

Applikation

  • 9
  • 7
  • 4
  • 4
  • 1
  • 1
ELISA, Immunohistochemistry (IHC)
  • Bindungsspezifität

    • 4
    • 2
    • 1
    • 1
    • 1
    AA 1-246

    Verwendungszweck

    RPL7L1 Antibody

    Aufreinigung

    Protein G purified

    Reinheit

    >95 %

    Immunogen

    Recombinant Human 60S ribosomal protein L7-like 1 protein (1-246AA)

    Isotyp

    IgG
  • Applikationshinweise

    Optimal working dilution should be determined by the investigator.

    Beschränkungen

    Nur für Forschungszwecke einsetzbar
  • Format

    Liquid

    Buffer

    Preservative: 0.03 % Proclin 300
    Constituents: 50 % Glycerol, 0.01M PBS, PH 7.4

    Konservierungsmittel

    ProClin

    Vorsichtsmaßnahmen

    This product contains ProClin: a POISONOUS AND HAZARDOUS SUBSTANCE which should be handled by trained staff only.

    Lagerung

    -20 °C,-80 °C

    Informationen zur Lagerung

    Upon receipt, store at -20°C or -80°C. Avoid repeated freeze.
  • Target

    RPL7L1 (Ribosomal Protein L7-Like 1 (RPL7L1))

    Andere Bezeichnung

    RPL7L1

    Hintergrund

    Background: cytosolic large ribosomal subunit, poly(A) RNA binding, structural constituent of ribosome, cytoplasmic translation, maturation of LSU-rRNA from tricistronic rRNA transcript (SSU-rRNA, 5.8S rRNA, LSU-rRNA)

    Aliases: RPL7L1 antibody, 60S ribosomal protein L7-like 1 antibody, Large ribosomal subunit protein uL30-like 1 antibody

    UniProt

    Q6DKI1
Sie sind hier:
Chat with us!