Telefon:
+49 (0)241 95 163 153
Fax:
+49 (0)241 95 163 155
E-Mail:
orders@antikoerper-online.de

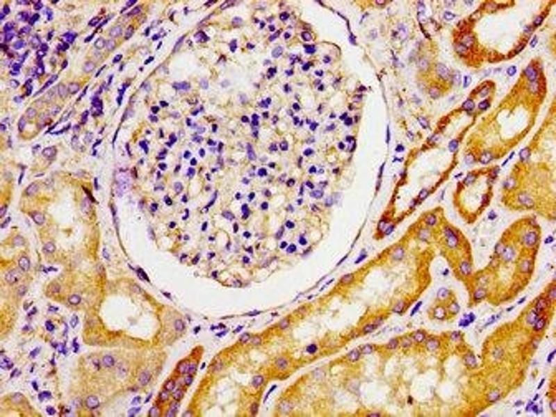
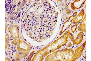
MPP1 Antikörper (AA 123-252)

Der Kaninchen Polyklonal anti-MPP1 Antikörper (ABIN7142689) detektiert spezifisch MPP1 in ELISA und IHC. Dieser Antikörper reagiert spezifisch mit Proben aus Human.
Produktnummer ABIN7142689
394,68 €
Zzgl. Versandkosten 20,00 € und MwSt
Lieferung nach: Deutschland
Lieferung in 11 bis 15 Werktagen

Kurzübersicht für MPP1 Antikörper (AA 123-252) (ABIN7142689)

Target

Alle MPP1 Antikörper anzeigen
MPP1 (Membrane Protein, Palmitoylated 1, 55kDa (MPP1))

Reaktivität

  • 60
  • 28
  • 19
  • 1
  • 1
  • 1
  • 1
  • 1
Human

Wirt

  • 54
  • 6
Kaninchen

Klonalität

  • 54
  • 6
Polyklonal

Konjugat

  • 31
  • 4
  • 3
  • 3
  • 1
  • 1
  • 1
  • 1
  • 1
  • 1
  • 1
  • 1
  • 1
  • 1
  • 1
  • 1
  • 1
  • 1
  • 1
  • 1
  • 1
  • 1
  • 1
Dieser MPP1 Antikörper ist unkonjugiert

Applikation

  • 49
  • 20
  • 11
  • 9
  • 4
  • 3
  • 2
  • 2
  • 1
  • 1
  • 1
ELISA, Immunohistochemistry (IHC)
  • Bindungsspezifität

    • 7
    • 6
    • 4
    • 3
    • 2
    • 2
    • 2
    • 2
    • 2
    • 2
    • 1
    • 1
    • 1
    • 1
    • 1
    • 1
    • 1
    • 1
    • 1
    AA 123-252

    Verwendungszweck

    MPP1 Antibody

    Aufreinigung

    Protein G purified

    Reinheit

    >95 %

    Immunogen

    Recombinant Human 55 kDa erythrocyte membrane protein (123-252AA)

    Isotyp

    IgG
  • Applikationshinweise

    Optimal working dilution should be determined by the investigator.

    Beschränkungen

    Nur für Forschungszwecke einsetzbar
  • Format

    Liquid

    Buffer

    Preservative: 0.03 % Proclin 300
    Constituents: 50 % Glycerol, 0.01M PBS, pH 7.4

    Konservierungsmittel

    ProClin

    Vorsichtsmaßnahmen

    This product contains ProClin: a POISONOUS AND HAZARDOUS SUBSTANCE which should be handled by trained staff only.

    Lagerung

    -20 °C,-80 °C

    Informationen zur Lagerung

    Upon receipt, store at -20°C or -80°C. Avoid repeated freeze.
  • Target

    MPP1 (Membrane Protein, Palmitoylated 1, 55kDa (MPP1))

    Andere Bezeichnung

    MPP1

    Hintergrund

    Background: Essential regulator of neutrophil polarity. Regulates neutrophil polarization by regulating AKT1 phosphorylation through a mechanism that is independent of PIK3CG activity (By similarity).

    Aliases: 55 kDa erythrocyte membrane protein antibody, AAG 12 antibody, AAG12 antibody, Aging associated gene 12 antibody, DXS552 antibody, DXS552E antibody, EM55_HUMAN antibody, EMP 55 antibody, EMP55 antibody, Erythrocyte membrane protein p55 antibody, Membrane protein antibody, Membrane protein palmitoylated 1 55 kDa antibody, Membrane protein palmitoylated 1 antibody, Membrane protein, palmitoylated 1, 55 kDa antibody, Migration related gene 1 antibody, MPP 1 antibody, MPP1 antibody, MRG 1 antibody, MRG1 antibody, OTTHUMP00000026054 antibody, OTTHUMP00000196176 antibody, p55 antibody, palmitoylated 1 antibody, Palmitoylated erythrocyte membrane protein antibody, Palmitoylated membrane protein 1 antibody, PEMP antibody

    UniProt

    Q00013
Sie sind hier:
Chat with us!