×
Aktivieren Sie Javascript in Ihrem Browser, um unsere Webseite optimal zu nutzen.
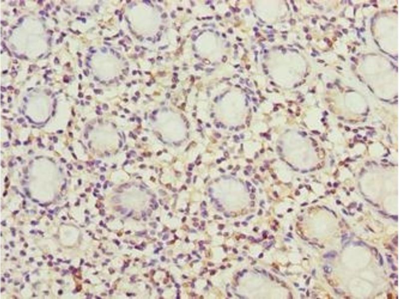
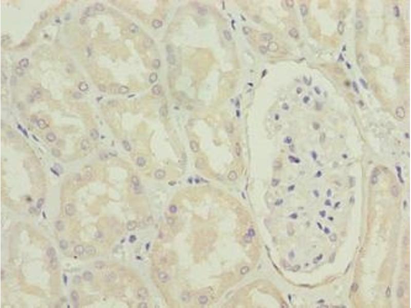
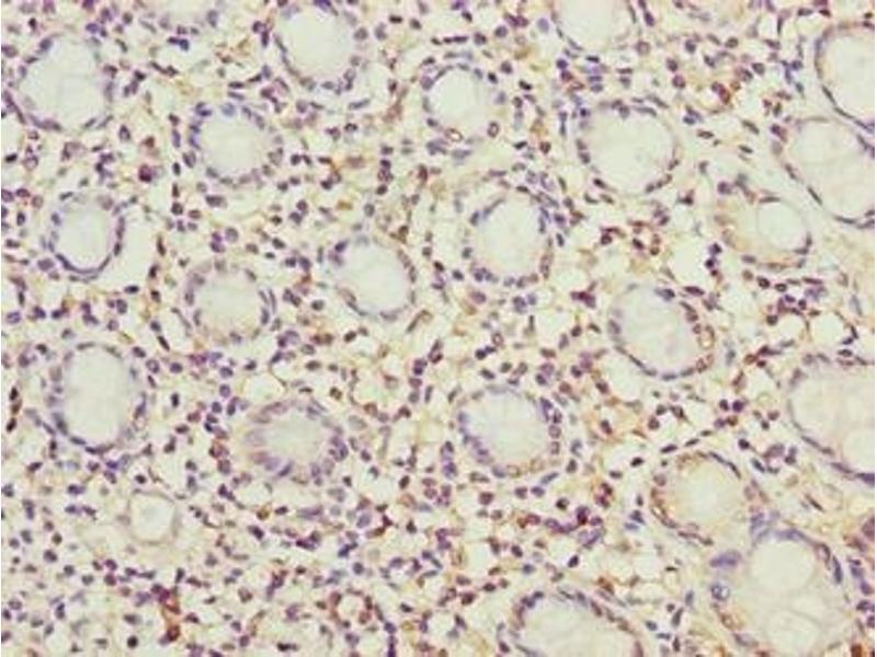
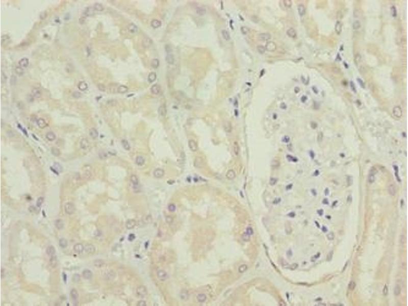
MRPL49 Antikörper (AA 1-166)
Der Kaninchen Polyklonal anti-MRPL49 Antikörper (ABIN7142431) detektiert spezifisch MRPL49 in ELISA, WB und IHC.
Dieser Antikörper reagiert spezifisch mit Proben aus Human.
Produktnummer ABIN7142431
328,90 €
Zzgl. Versandkosten 20,00 € und MwSt
50 μg ABIN7353823
100 μg ABIN7142431
50 μg ABIN7353823
100 μg ABIN7142431
Lieferung in 11 bis 15 Werktagen
Kurzübersicht für MRPL49 Antikörper (AA 1-166) (ABIN7142431)
Target
Alle MRPL49 Antikörper anzeigen
MRPL49
(Mitochondrial Ribosomal Protein L49 (MRPL49))
Reaktivität
Alle Reaktivitäten für MRPL49 Antikörper
Human
Wirt
Alle Wirte für MRPL49 Antikörper
Kaninchen
Klonalität
Alle Klonalitäten für MRPL49 Antikörper
Polyklonal
Konjugat
Alle Konjugate für MRPL49 Antikörper
Dieser MRPL49 Antikörper ist unkonjugiert
Applikation
Alle Applikationen für MRPL49 Antikörper
ELISA, Western Blotting (WB), Immunohistochemistry (IHC)
Produktdetails anti-MRPL49 Antikörper
(ausblenden)
Bindungsspezifität
Alle Epitope für MRPL49 Antikörper
AA 1-166
Verwendungszweck
MRPL49 Antibody
Kreuzreaktivität
Maus
Aufreinigung
Antigen Affinity Purified
Immunogen
Recombinant Human 39S ribosomal protein L49, mitochondrial protein (1-166AA)
Isotyp
IgG
Alternativen
(anzeigen)
Anwendungsinformationen
(ausblenden)
Applikationshinweise
Optimal working dilution should be determined by the investigator.
Beschränkungen
Nur für Forschungszwecke einsetzbar
Handhabung
(ausblenden)
Format
Liquid
Buffer
Preservative: 0.03 % Proclin 300 Constituents: 50 % Glycerol, 0.01M PBS, PH 7.4
Konservierungsmittel
ProClin
Vorsichtsmaßnahmen
This product contains ProClin: a POISONOUS AND HAZARDOUS SUBSTANCE which should be handled by trained staff only.
Lagerung
-20 °C,-80 °C
Informationen zur Lagerung
Upon receipt, store at -20°C or -80°C. Avoid repeated freeze.
Details zu MRPL49
(ausblenden)
Target
MRPL49
(Mitochondrial Ribosomal Protein L49 (MRPL49))
Andere Bezeichnung
MRPL49
Hintergrund
MRPL49 antibody, C11orf4 antibody, NOF1 antibody, OK/SW-cl.67 antibody, 39S ribosomal protein L49 antibody, mitochondrial antibody, L49mt antibody, MRP-L49 antibody, Mitochondrial large ribosomal subunit protein mL49 antibody, Neighbor of FAU antibody, NOF antibody, Protein NOF1 antibody
UniProt
Q13405
Zuletzt angesehen
(ausblenden)
Sie sind hier:
Startseite
anti-MRPL49 Antikörper (AA 1-166) (ABIN7142431)
Chat with us , powered by LiveChat