Telefon:
+49 (0)241 95 163 153
Fax:
+49 (0)241 95 163 155
E-Mail:
orders@antikoerper-online.de

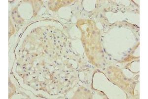
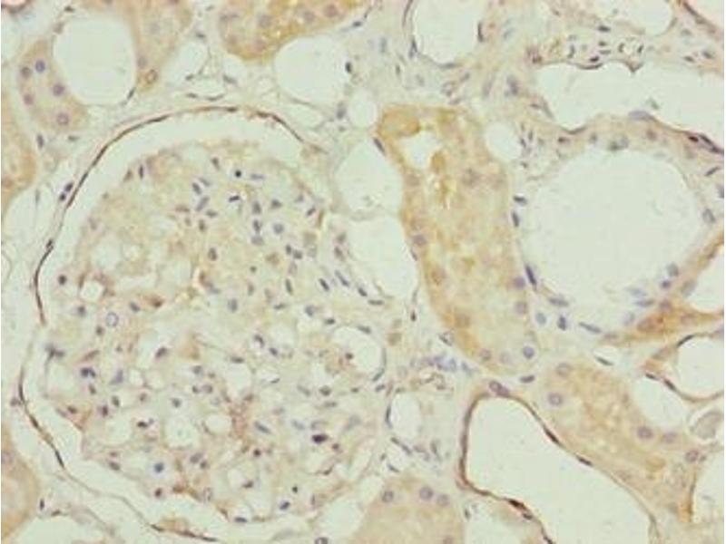
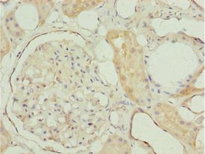
MRPL27 Antikörper (AA 1-148)

Der Kaninchen Polyklonal anti-MRPL27 Antikörper wird verwendet zum Nachweis von MRPL27 in Proben von Human. Er wurde validiert für ELISA und IHC.
Produktnummer ABIN7142385
328,90 €
Zzgl. Versandkosten 20,00 € und MwSt
Lieferung nach: Deutschland
Lieferung in 11 bis 15 Werktagen

Kurzübersicht für MRPL27 Antikörper (AA 1-148) (ABIN7142385)

Target

Alle MRPL27 Antikörper anzeigen
MRPL27 (Mitochondrial Ribosomal Protein L27 (MRPL27))

Reaktivität

  • 7
  • 2
  • 1
Human

Wirt

  • 7
Kaninchen

Klonalität

  • 7
Polyklonal

Konjugat

  • 3
  • 2
  • 1
  • 1
Dieser MRPL27 Antikörper ist unkonjugiert

Applikation

  • 5
  • 3
  • 2
ELISA, Immunohistochemistry (IHC)
  • Bindungsspezifität

    • 4
    • 1
    AA 1-148

    Verwendungszweck

    MRPL27 Antibody

    Aufreinigung

    Protein G purified

    Reinheit

    >95 %

    Immunogen

    Recombinant Human 39S ribosomal protein L27, mitochondrial protein (1-148AA)

    Isotyp

    IgG
  • Applikationshinweise

    Optimal working dilution should be determined by the investigator.

    Beschränkungen

    Nur für Forschungszwecke einsetzbar
  • Format

    Liquid

    Buffer

    Preservative: 0.03 % Proclin 300
    Constituents: 50 % Glycerol, 0.01M PBS, PH 7.4

    Konservierungsmittel

    ProClin

    Vorsichtsmaßnahmen

    This product contains ProClin: a POISONOUS AND HAZARDOUS SUBSTANCE which should be handled by trained staff only.

    Lagerung

    -20 °C,-80 °C

    Informationen zur Lagerung

    Upon receipt, store at -20°C or -80°C. Avoid repeated freeze.
  • Target

    MRPL27 (Mitochondrial Ribosomal Protein L27 (MRPL27))

    Andere Bezeichnung

    MRPL27

    Hintergrund

    MRPL27 antibody, HSPC250 antibody, 39S ribosomal protein L27 antibody, mitochondrial antibody, L27mt antibody, MRP-L27 antibody, Mitochondrial large ribosomal subunit protein bL27m antibody

    UniProt

    Q9P0M9
Sie sind hier:
Chat with us!