×
Aktivieren Sie Javascript in Ihrem Browser, um unsere Webseite optimal zu nutzen.
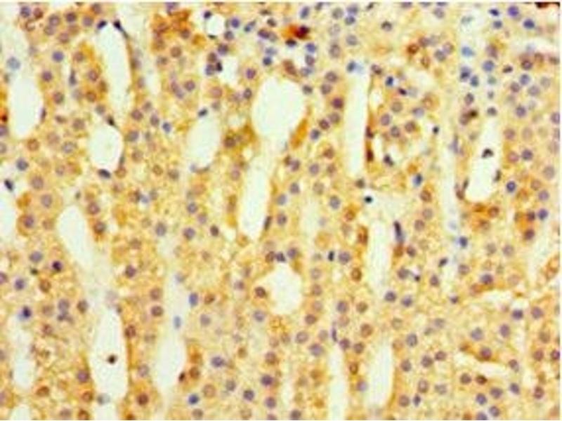
MRPL1 Antikörper (AA 51-324)
Der Kaninchen Polyklonal anti-MRPL1 Antikörper (ABIN7142344) detektiert spezifisch MRPL1 in WB, ELISA und IHC.
Dieser Antikörper reagiert spezifisch mit Proben aus Human.
Produktnummer ABIN7142344
328,90 €
Zzgl. Versandkosten 20,00 € und MwSt
50 μg ABIN7359946
100 μg ABIN7142344
50 μg ABIN7359946
100 μg ABIN7142344
Lieferung in 11 bis 15 Werktagen
Kurzübersicht für MRPL1 Antikörper (AA 51-324) (ABIN7142344)
Target
Alle MRPL1 Antikörper anzeigen
MRPL1
(Mitochondrial Ribosomal Protein L1 (MRPL1))
Reaktivität
Alle Reaktivitäten für MRPL1 Antikörper
Human
Wirt
Alle Wirte für MRPL1 Antikörper
Kaninchen
Klonalität
Alle Klonalitäten für MRPL1 Antikörper
Polyklonal
Konjugat
Alle Konjugate für MRPL1 Antikörper
Dieser MRPL1 Antikörper ist unkonjugiert
Applikation
Alle Applikationen für MRPL1 Antikörper
Western Blotting (WB), ELISA, Immunohistochemistry (IHC)
Produktdetails anti-MRPL1 Antikörper
(ausblenden)
Bindungsspezifität
Alle Epitope für MRPL1 Antikörper
AA 51-324
Verwendungszweck
MRPL1 Antibody
Aufreinigung
Protein G purified
Reinheit
>95 %
Immunogen
Recombinant Human 39S ribosomal protein L1, mitochondrial protein (51-324AA)
Isotyp
IgG
Alternativen
(anzeigen)
Anwendungsinformationen
(ausblenden)
Applikationshinweise
Optimal working dilution should be determined by the investigator.
Beschränkungen
Nur für Forschungszwecke einsetzbar
Handhabung
(ausblenden)
Format
Liquid
Buffer
Preservative: 0.03 % Proclin 300 Constituents: 50 % Glycerol, 0.01M PBS, PH 7.4
Konservierungsmittel
ProClin
Vorsichtsmaßnahmen
This product contains ProClin: a POISONOUS AND HAZARDOUS SUBSTANCE which should be handled by trained staff only.
Lagerung
-20 °C,-80 °C
Informationen zur Lagerung
Upon receipt, store at -20°C or -80°C. Avoid repeated freeze.
Details zu MRPL1
(ausblenden)
Target
MRPL1
(Mitochondrial Ribosomal Protein L1 (MRPL1))
Andere Bezeichnung
MRPL1
Hintergrund
39S ribosomal protein L1 antibody, 39S ribosomal protein L1, mitochondrial precursor antibody, BM022 antibody, L1mt antibody, mitochondrial antibody, Mitochondrial ribosomal protein L1 antibody, MRP L1 antibody, MRP-L1 antibody, Mrpl1 antibody, RM01_HUMAN antibody
UniProt
Q9BYD6
Zuletzt angesehen
(ausblenden)
Sie sind hier:
Startseite
anti-MRPL1 Antikörper (AA 51-324) (ABIN7142344)
Chat with us , powered by LiveChat