Telefon:
+49 (0)241 95 163 153
Fax:
+49 (0)241 95 163 155
E-Mail:
orders@antikoerper-online.de

26S Proteasome Complex Subunit SEM1 (SEM1) (AA 1-70) Antikörper

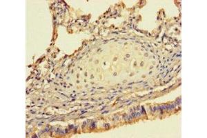
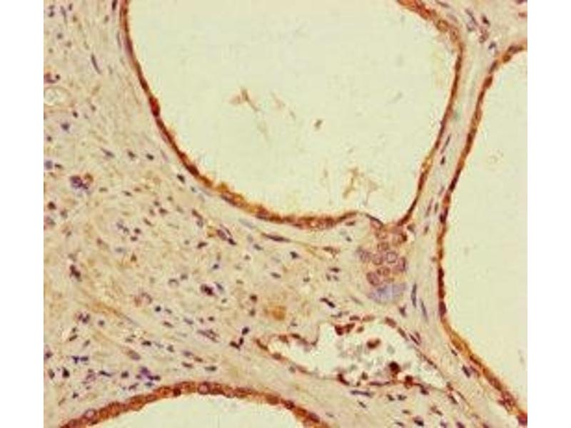
Der Kaninchen Polyklonal anti-26S Proteasome Complex Subunit SEM1 Antikörper (ABIN7142194) detektiert spezifisch 26S Proteasome Complex Subunit SEM1 in ELISA und IHC. Dieser Antikörper reagiert spezifisch mit Proben aus Human.
Produktnummer ABIN7142194
328,90 €
Zzgl. Versandkosten 20,00 € und MwSt
Lieferung nach: Deutschland
Lieferung in 11 bis 15 Werktagen

Kurzübersicht für 26S Proteasome Complex Subunit SEM1 (SEM1) (AA 1-70) Antikörper (ABIN7142194)

Target

26S Proteasome Complex Subunit SEM1 (SEM1)

Reaktivität

Human

Wirt

  • 4
Kaninchen

Klonalität

  • 4
Polyklonal

Konjugat

  • 1
  • 1
  • 1
  • 1
Unkonjugiert

Applikation

  • 3
  • 1
  • 1
ELISA, Immunohistochemistry (IHC)
  • Bindungsspezifität

    AA 1-70

    Verwendungszweck

    SEM1 Antibody

    Aufreinigung

    Protein G purified

    Reinheit

    >95 %

    Immunogen

    Recombinant Human 26S proteasome complex subunit SEM1 protein (1-70AA)

    Isotyp

    IgG
  • Applikationshinweise

    Optimal working dilution should be determined by the investigator.

    Beschränkungen

    Nur für Forschungszwecke einsetzbar
  • Format

    Liquid

    Buffer

    Preservative: 0.03 % Proclin 300
    Constituents: 50 % Glycerol, 0.01M PBS, PH 7.4

    Konservierungsmittel

    ProClin

    Vorsichtsmaßnahmen

    This product contains ProClin: a POISONOUS AND HAZARDOUS SUBSTANCE which should be handled by trained staff only.

    Lagerung

    -20 °C,-80 °C

    Informationen zur Lagerung

    Upon receipt, store at -20°C or -80°C. Avoid repeated freeze.
  • Target

    26S Proteasome Complex Subunit SEM1 (SEM1)

    Andere Bezeichnung

    SEM1

    Hintergrund

    Background: Component of the 26S proteasome, a multiprotein complex involved in the ATP-dependent degradation of ubiquitinated proteins. This complex plays a key role in the maintenance of protein homeostasis by removing misfolded or damaged proteins, which could impair cellular functions, and by removing proteins whose functions are no longer required. Therefore, the proteasome participates in numerous cellular processes, including cell cycle progression, apoptosis, or DNA damage repair (PubMed:15117943). Component of the TREX-2 complex (transcription and export complex 2), composed of at least ENY2, GANP, PCID2, SEM1, and either centrin CETN2 or CETN3 (PubMed:22307388). The TREX-2 complex functions in docking export-competent ribonucleoprotein particles (mRNPs) to the nuclear entrance of the nuclear pore complex (nuclear basket). TREX-2 participates in mRNA export and accurate chromatin positioning in the nucleus by tethering genes to the nuclear periphery. Binds and stabilizes BRCA2 and is thus involved in the control of R-loop-associated DNA damage and thus transcription-associated genomic instability. R-loop accumulation increases in SEM1-depleted cells.

    Aliases: SEM1 antibody, C7orf76 antibody, DSS1 antibody, SHFDG1 antibody, SHFM1 antibody, 26S proteasome complex subunit SEM1 antibody, 26S proteasome complex subunit DSS1 antibody, Deleted in split hand/split foot protein 1 antibody, Split hand/foot deleted protein 1 antibody, Split hand/foot malformation type 1 protein antibody

    UniProt

    P60896
Sie sind hier:
Chat with us!