Telefon:
+49 (0)241 95 163 153
Fax:
+49 (0)241 95 163 155
E-Mail:
orders@antikoerper-online.de

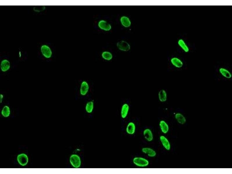
HIST1H3A Antikörper (meLys36)

Der Kaninchen Polyklonal anti-HIST1H3A Antikörper wird verwendet zum Nachweis von HIST1H3A in Proben von Human. Er wurde validiert für ELISA, WB, IF und ICC.
Produktnummer ABIN7139598
350,90 €
Zzgl. Versandkosten 20,00 € und MwSt
Lieferung nach: Deutschland
Lieferung in 11 bis 15 Werktagen

Kurzübersicht für HIST1H3A Antikörper (meLys36) (ABIN7139598)

Target

Alle HIST1H3A Antikörper anzeigen
HIST1H3A (Histone Cluster 1, H3a (HIST1H3A))

Reaktivität

  • 242
  • 120
  • 101
  • 38
  • 37
  • 37
  • 33
  • 16
  • 1
  • 1
  • 1
  • 1
  • 1
Human

Wirt

  • 235
  • 7
Kaninchen

Klonalität

  • 189
  • 53
Polyklonal

Konjugat

  • 218
  • 2
  • 2
  • 2
  • 1
  • 1
  • 1
  • 1
  • 1
  • 1
  • 1
  • 1
  • 1
  • 1
  • 1
  • 1
  • 1
  • 1
  • 1
  • 1
  • 1
  • 1
Dieser HIST1H3A Antikörper ist unkonjugiert

Applikation

  • 172
  • 147
  • 96
  • 74
  • 54
  • 52
  • 28
  • 21
  • 13
  • 13
  • 12
  • 8
  • 4
  • 3
  • 2
ELISA, Western Blotting (WB), Immunofluorescence (IF), Immunocytochemistry (ICC)
  • Bindungsspezifität

    • 16
    • 6
    • 6
    • 5
    • 4
    • 4
    • 4
    • 4
    • 4
    • 4
    • 4
    • 4
    • 3
    • 3
    • 3
    • 3
    • 3
    • 3
    • 3
    • 3
    • 3
    • 3
    • 3
    • 3
    • 3
    • 3
    • 3
    • 2
    • 2
    • 2
    • 2
    • 2
    • 2
    • 2
    • 2
    • 2
    • 2
    • 2
    • 2
    • 2
    • 2
    • 2
    • 2
    • 2
    • 2
    • 2
    • 2
    • 2
    • 2
    • 2
    meLys36

    Verwendungszweck

    Mono-methyl-HIST1H3A (K36) Antibody

    Aufreinigung

    Antigen Affinity Purified

    Immunogen

    Peptide sequence around site of Mono-methyl-Lys (36) derived from Human Histone H3.1

    Isotyp

    IgG
  • Applikationshinweise

    Optimal working dilution should be determined by the investigator.

    Beschränkungen

    Nur für Forschungszwecke einsetzbar
  • Format

    Liquid

    Buffer

    Preservative: 0.03 % Proclin 300
    Constituents: 50 % Glycerol, 0.01M PBS, pH 7.4

    Konservierungsmittel

    ProClin

    Vorsichtsmaßnahmen

    This product contains ProClin: a POISONOUS AND HAZARDOUS SUBSTANCE which should be handled by trained staff only.

    Lagerung

    -20 °C,-80 °C

    Informationen zur Lagerung

    Upon receipt, store at -20°C or -80°C. Avoid repeated freeze.
  • Target

    HIST1H3A (Histone Cluster 1, H3a (HIST1H3A))

    Andere Bezeichnung

    HIST1H3A

    Hintergrund

    Background: Core component of nucleosome. Nucleosomes wrap and compact DNA into chromatin, limiting DNA accessibility to the cellular machineries which require DNA as a template. Histones thereby play a central role in transcription regulation, DNA repair, DNA replication and chromosomal stability. DNA accessibility is regulated via a complex set of post-translational modifications of histones, also called histone code, and nucleosome remodeling.

    Aliases: H3 histone family member E pseudogene antibody, H3 histone family, member A antibody, H3/A antibody, H31_HUMAN antibody, H3F3 antibody, H3FA antibody, Hist1h3a antibody, HIST1H3B antibody, HIST1H3C antibody, HIST1H3D antibody, HIST1H3E antibody, HIST1H3F antibody, HIST1H3G antibody, HIST1H3H antibody, HIST1H3I antibody, HIST1H3J antibody, HIST3H3 antibody, histone 1, H3a antibody, Histone cluster 1, H3a antibody, Histone H3 3 pseudogene antibody, Histone H3.1 antibody, Histone H3/a antibody, Histone H3/b antibody, Histone H3/c antibody, Histone H3/d antibody, Histone H3/f antibody, Histone H3/h antibody, Histone H3/i antibody, Histone H3/j antibody, Histone H3/k antibody, Histone H3/l antibody

    UniProt

    P68431
Sie sind hier:
Chat with us!