Telefon:
+49 (0)241 95 163 153
Fax:
+49 (0)241 95 163 155
E-Mail:
orders@antikoerper-online.de

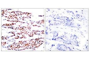
JunB Antikörper (pSer79)

Der Kaninchen Polyklonal anti-JunB Antikörper wird verwendet zum Nachweis von JunB in Proben von Human. Er wurde validiert für IHC, ELISA und IF.
Produktnummer ABIN7138704
396,00 €
Zzgl. Versandkosten 20,00 € und MwSt
100 μL
Lieferung nach: Deutschland
Lieferung in 11 bis 15 Werktagen

Kurzübersicht für JunB Antikörper (pSer79) (ABIN7138704)

Target

Alle JunB (JUNB) Antikörper anzeigen
JunB (JUNB) (Jun B Proto-Oncogene (JUNB))

Reaktivität

  • 135
  • 64
  • 60
  • 10
  • 9
  • 8
  • 7
  • 6
  • 5
  • 4
  • 3
  • 2
  • 2
  • 1
  • 1
  • 1
Human

Wirt

  • 125
  • 9
  • 1
Kaninchen

Klonalität

  • 103
  • 32
Polyklonal

Konjugat

  • 72
  • 7
  • 4
  • 4
  • 4
  • 4
  • 4
  • 4
  • 3
  • 3
  • 2
  • 2
  • 2
  • 2
  • 2
  • 2
  • 2
  • 2
  • 2
  • 2
  • 2
  • 1
  • 1
  • 1
  • 1
Dieser JunB Antikörper ist unkonjugiert

Applikation

  • 95
  • 36
  • 36
  • 34
  • 32
  • 27
  • 26
  • 15
  • 13
  • 7
  • 6
  • 3
  • 2
  • 1
Immunohistochemistry (IHC), ELISA, Immunofluorescence (IF)
  • Bindungsspezifität

    • 29
    • 15
    • 15
    • 13
    • 7
    • 4
    • 3
    • 3
    • 3
    • 3
    • 2
    • 2
    • 2
    • 2
    • 1
    • 1
    • 1
    • 1
    • 1
    • 1
    • 1
    • 1
    • 1
    • 1
    • 1
    • 1
    • 1
    • 1
    • 1
    pSer79

    Verwendungszweck

    Phospho-JUNB (Ser79) Antibody

    Kreuzreaktivität

    Maus, Ratte

    Aufreinigung

    Antibodies were produced by immunizing rabbits with synthetic phosphopeptide and KLH conjugates. Antibodies were purified by affinity-chromatography using epitope-specific phosphopeptide. Non-phospho specific antibodies were removed by chromatogramphy usi

    Immunogen

    Peptide sequence around phosphorylation site of serine 79 (G-A-S(p)-L-K) derived from Human JunB.

    Isotyp

    IgG
  • Applikationshinweise

    Optimal working dilution should be determined by the investigator.

    Beschränkungen

    Nur für Forschungszwecke einsetzbar
  • Format

    Liquid

    Buffer

    Supplied at 1.0 mg/mL in phosphate buffered saline (without Mg2+ and Ca2+), pH 7.4, 150 mM NaCl, 0.02 % sodium azide and 50 % glycerol.

    Konservierungsmittel

    Sodium azide

    Vorsichtsmaßnahmen

    This product contains Sodium azide: a POISONOUS AND HAZARDOUS SUBSTANCE which should be handled by trained staff only.

    Lagerung

    -20 °C,-80 °C

    Informationen zur Lagerung

    Upon receipt, store at -20°C or -80°C. Avoid repeated freeze.
  • Target

    JunB (JUNB) (Jun B Proto-Oncogene (JUNB))

    Andere Bezeichnung

    JUNB

    Hintergrund

    Background: Transcription factor involved in regulating gene activity following the primary growth factor response. Binds to the DNA sequence 5'-TGA[CG]TCA-3'.

    Narayanan K, et al. (2004) J Biol Chem. 279(43): 44294-442302.

    Aliases: Activator protein 1 antibody, AP 1 antibody, AP1 antibody, Jun B antibody, Jun B proto oncogene antibody, Jun B protooncogene antibody, Junb antibody, JunB proto oncogene antibody, JunB protoncogene 9 antibody, JunB protooncogene antibody, JUNB_HUMAN antibody, Transcription factor jun B antibody, Transcription factor jun-B antibody, Transcription factor junB antibody

    UniProt

    P17275
Sie sind hier:
Chat with us!