Telefon:
+49 (0)241 95 163 153
Fax:
+49 (0)241 95 163 155
E-Mail:
orders@antikoerper-online.de

Neuroglobin Antikörper

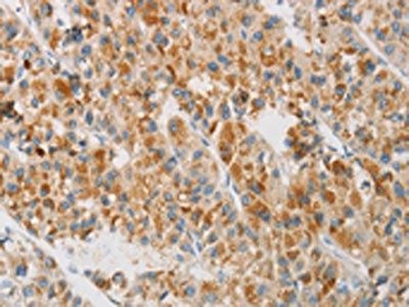
Der Kaninchen Polyklonal anti-Neuroglobin Antikörper (ABIN7130419) detektiert spezifisch Neuroglobin in ELISA und IHC. Dieser Antikörper reagiert spezifisch mit Proben aus Human.
Produktnummer ABIN7130419
328,90 €
Zzgl. Versandkosten 20,00 € und MwSt
Lieferung nach: Deutschland
Lieferung in 11 bis 15 Werktagen

Kurzübersicht für Neuroglobin Antikörper (ABIN7130419)

Target

Alle Neuroglobin (NGB) Antikörper anzeigen
Neuroglobin (NGB)

Reaktivität

  • 35
  • 24
  • 8
Human

Wirt

  • 45
  • 7
  • 1
Kaninchen

Klonalität

  • 47
  • 6
Polyklonal

Konjugat

  • 24
  • 4
  • 4
  • 4
  • 1
  • 1
  • 1
  • 1
  • 1
  • 1
  • 1
  • 1
  • 1
  • 1
  • 1
  • 1
  • 1
  • 1
  • 1
  • 1
  • 1
Dieser Neuroglobin Antikörper ist unkonjugiert

Applikation

  • 26
  • 22
  • 13
  • 13
  • 10
  • 6
  • 4
  • 4
  • 3
  • 3
  • 2
  • 2
  • 1
ELISA, Immunohistochemistry (IHC)
  • Verwendungszweck

    NGB Antibody

    Kreuzreaktivität

    Maus, Ratte

    Aufreinigung

    Antigen affinity purification

    Immunogen

    Fusion protein of Human NGB

    Isotyp

    IgG
  • Applikationshinweise

    Optimal working dilution should be determined by the investigator.

    Beschränkungen

    Nur für Forschungszwecke einsetzbar
  • Format

    Liquid

    Buffer

     pH 7.4 PBS, 0.05 % Sodium azide, 40 % Glycerol

    Konservierungsmittel

    Sodium azide

    Vorsichtsmaßnahmen

    This product contains Sodium azide: a POISONOUS AND HAZARDOUS SUBSTANCE which should be handled by trained staff only.

    Lagerung

    -20 °C,-80 °C

    Informationen zur Lagerung

    Upon receipt, store at -20°C or -80°C. Avoid repeated freeze.
  • Target

    Neuroglobin (NGB)

    Andere Bezeichnung

    NGB

    Hintergrund

    Background: This gene encodes an oxygen-binding protein that is distantly related to members of the globin gene family. It is highly conserved among other vertebrates. It is expressed in the central and peripheral nervous system where it may be involved in increasing oxygen availability and providing protection under hypoxic/ischemic conditions.

    Aliases: Neuroglobin antibody, NGB antibody, NGB_HUMAN antibody

    UniProt

    Q9NPG2
Sie sind hier:
Chat with us!