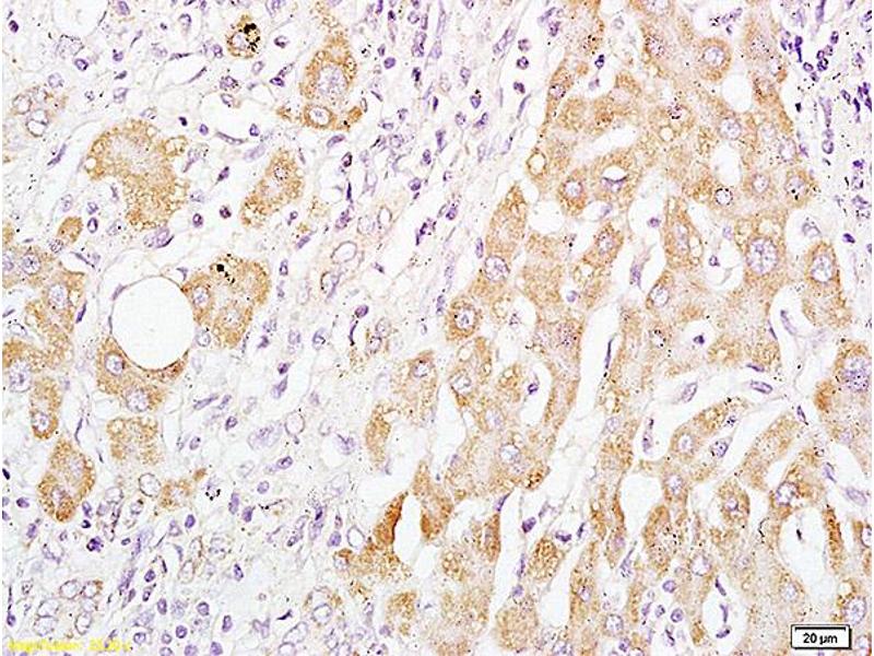
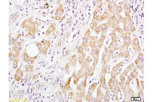
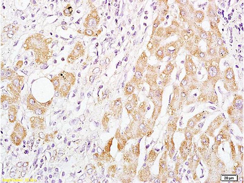
BAAT Antikörper (AA 101-200)
Kurzübersicht für BAAT Antikörper (AA 101-200) (ABIN708776)
Target
Alle BAAT Antikörper anzeigenReaktivität
Wirt
Klonalität
Konjugat
Applikation
-
-
Bindungsspezifität
- AA 101-200
-
Homologie
- Human,Mouse,Rat,Horse,Rabbit
-
Aufreinigung
- Purified by Protein A.
-
Immunogen
- KLH conjugated synthetic peptide derived from human BAAT
-
Isotyp
- IgG
-
-
-
-
Applikationshinweise
-
WB 1:300-5000
ELISA 1:500-1000
IHC-P 1:200-400
IHC-F 1:100-500
IF(IHC-P) 1:50-200
IF(IHC-F) 1:50-200
IF(ICC) 1:50-200 -
Beschränkungen
- Nur für Forschungszwecke einsetzbar
-
-
-
Format
- Liquid
-
Konzentration
- 1 μg/μL
-
Buffer
- 0.01M TBS( pH 7.4) with 1 % BSA, 0.02 % Proclin300 and 50 % Glycerol.
-
Konservierungsmittel
- ProClin
-
Vorsichtsmaßnahmen
- This product contains ProClin: a POISONOUS AND HAZARDOUS SUBSTANCE, which should be handled by trained staff only.
-
Lagerung
- 4 °C,-20 °C
-
Informationen zur Lagerung
- Shipped at 4°C. Store at -20°C for one year. Avoid repeated freeze/thaw cycles.
-
Haltbarkeit
- 12 months
-
-
- BAAT (Bile Acid CoA: Amino Acid N-Acyltransferase (Glycine N-Choloyltransferase) (BAAT))
-
Andere Bezeichnung
- Baat
-
Hintergrund
-
Synonyms: BAT, BACAT, Bile acid-CoA:amino acid N-acyltransferase, Glycine N-choloyltransferase, Long-chain fatty-acyl-CoA hydrolase, BAAT
Background: Involved in bile acid metabolism. In liver hepatocytes catalyzes the second step in the conjugation of C24 bile acids (choloneates) to glycine and taurine before excretion into bile canaliculi. The major components of bile are cholic acid and chenodeoxycholic acid. In a first step the bile acids are converted to an acyl-CoA thioester, either in peroxisomes (primary bile acids deriving from the cholesterol pathway), or cytoplasmic at the endoplasmic reticulum (secondary bile acids). May catalyze the conjugation of primary or secondary bile acids, or both. The conjugation increases the detergent properties of bile acids in the intestine, which facilitates lipid and fat-soluble vitamin absorption. In turn, bile acids are deconjugated by bacteria in the intestine and are recycled back to the liver for reconjugation (secondary bile acids). May also act as an acyl-CoA thioesterase that regulates intracellular levels of free fatty acids. In vitro, catalyzes the hydrolysis of long- and very long-chain saturated acyl-CoAs to the free fatty acid and coenzyme A (CoASH), and conjugates glycine to these acyl-CoAs.
-
Gen-ID
- 570
-
UniProt
- Q14032
Target
-