Telefon:
+49 (0)241 95 163 153
Fax:
+49 (0)241 95 163 155
E-Mail:
orders@antikoerper-online.de

Acox2 Antikörper

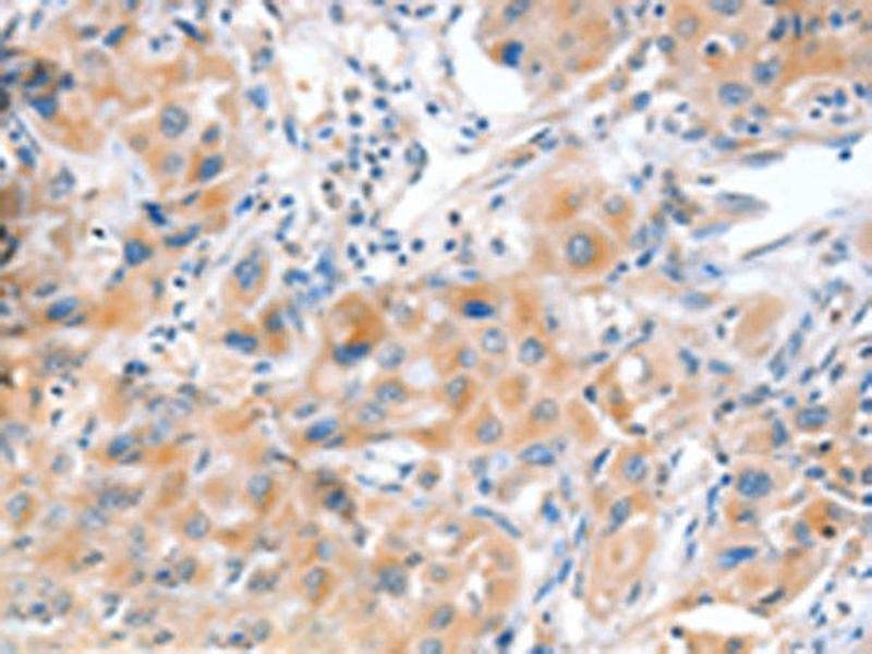
Der Kaninchen Polyklonal anti-Acox2 Antikörper (ABIN7128172) detektiert spezifisch Acox2 in WB, ELISA und IHC. Dieser Antikörper reagiert spezifisch mit Proben aus Human.
Produktnummer ABIN7128172
328,90 €
Zzgl. Versandkosten 20,00 € und MwSt
Lieferung nach: Deutschland
Lieferung in 11 bis 15 Werktagen

Kurzübersicht für Acox2 Antikörper (ABIN7128172)

Target

Alle Acox2 Antikörper anzeigen
Acox2 (Acyl-CoA Oxidase 2, Branched Chain (Acox2))

Reaktivität

  • 31
  • 29
  • 20
Human

Wirt

  • 43
  • 4
  • 1
Kaninchen

Klonalität

  • 46
  • 2
Polyklonal

Konjugat

  • 22
  • 3
  • 2
  • 2
  • 1
  • 1
  • 1
  • 1
  • 1
  • 1
  • 1
  • 1
  • 1
  • 1
  • 1
  • 1
  • 1
  • 1
  • 1
  • 1
  • 1
  • 1
  • 1
Dieser Acox2 Antikörper ist unkonjugiert

Applikation

  • 24
  • 18
  • 13
  • 13
  • 6
  • 3
  • 3
  • 3
  • 3
  • 2
  • 1
Western Blotting (WB), ELISA, Immunohistochemistry (IHC)
  • Verwendungszweck

    ACOX2 Antibody

    Kreuzreaktivität

    Maus

    Aufreinigung

    Antigen affinity purification

    Immunogen

    Fusion protein of Human ACOX2

    Isotyp

    IgG
  • Applikationshinweise

    Optimal working dilution should be determined by the investigator.

    Beschränkungen

    Nur für Forschungszwecke einsetzbar
  • Format

    Liquid

    Buffer

     pH 7.4 PBS, 0.05 % Sodium azide, 40 % Glycerol

    Konservierungsmittel

    Sodium azide

    Vorsichtsmaßnahmen

    This product contains Sodium azide: a POISONOUS AND HAZARDOUS SUBSTANCE which should be handled by trained staff only.

    Lagerung

    -20 °C,-80 °C

    Informationen zur Lagerung

    Upon receipt, store at -20°C or -80°C. Avoid repeated freeze.
  • Target

    Acox2 (Acyl-CoA Oxidase 2, Branched Chain (Acox2))

    Andere Bezeichnung

    ACOX2

    Hintergrund

    Background: The product of this gene belongs to the acyl-CoA oxidase family. It encodes the branched-chain acyl-CoA oxidase which is involved in the degradation of long branched fatty acids and bile acid intermediates in peroxisomes. Deficiency of this enzyme results in the accumulation of branched fatty acids and bile acid intermediates, and may lead to Zellweger syndrome, severe mental retardation, and death in children.

    Aliases: 12-alpha-trihydroxy-5-beta-cholestanoyl-CoA 24-hydroxylase antibody, 12-alpha-trihydroxy-5-beta-cholestanoyl-CoA oxidase antibody, 3 alpha 7 alpha 12 alpha trihydroxy 5 beta cholestanoyl CoA oxidase antibody, 3 alpha 7 alpha12 alpha trihydroxy 5 beta cholestanoyl CoA 24 hydroxylase antibody, 3-alpha antibody, 7-alpha antibody, ACOX 2 antibody, ACOX2 antibody, ACOX2_HUMAN antibody, Acyl CoA oxidase 2 antibody, Acyl Coenzyme A oxidase 2 antibody, Acyl Coenzyme A oxidase 2 branched chain antibody, Acyl coenzyme A oxidase 2 peroxisomal antibody, BCOX antibody, BRCACOX antibody, BRCOX antibody, Peroxisomal acyl-coenzyme A oxidase 2 antibody, Peroxisomal branched chain acyl CoA oxidase antibody, THCA CoA oxidase antibody, THCA-CoA oxidase antibody, THCCox antibody, Trihydroxycoprostanoyl CoA oxidase antibody, Trihydroxycoprostanoyl-CoA oxidase antibody

    UniProt

    Q99424

    Pathways

    Monocarboxylic Acid Catabolic Process
Sie sind hier:
Chat with us!