Rekombinanter SDHB Antikörper
Kurzübersicht für Rekombinanter SDHB Antikörper (ABIN7127803)
Target
Alle SDHB Antikörper anzeigenAntikörpertyp
Reaktivität
Wirt
Klonalität
Konjugat
Applikation
Klon
-
-
Verwendungszweck
- SDHB Recombinant Monoclonal Antibody
-
Kreuzreaktivität
- Maus, Ratte
-
Aufreinigung
- Affinity-chromatography
-
Immunogen
- A synthesized peptide derived from human SDHB
-
Isotyp
- IgG
-
-
-
-
Applikationshinweise
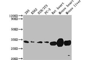
- WB:1:500-1:5000, IHC:1:50-1:200, FC:1:20-1:200
-
Beschränkungen
- Nur für Forschungszwecke einsetzbar
-
-
-
Format
- Liquid
-
Buffer
- phosphate buffered saline, pH 7.4, 150 mM NaCl, 0.02 % sodium azide and 50 % glycerol.
-
Konservierungsmittel
- Sodium azide
-
Vorsichtsmaßnahmen
- This product contains Sodium azide: a POISONOUS AND HAZARDOUS SUBSTANCE which should be handled by trained staff only.
-
Lagerung
- -20 °C,-80 °C
-
Informationen zur Lagerung
- Upon receipt, store at -20°C or -80°C. Avoid repeated freeze.
-
-
- SDHB (Succinate Dehydrogenase Complex, Subunit B, Iron Sulfur (Ip) (SDHB))
-
Andere Bezeichnung
- SDHB
-
Hintergrund
-
Background: Iron-sulfur protein (IP) subunit of succinate dehydrogenase (SDH) that is involved in complex II of the mitochondrial electron transport chain and is responsible for transferring electrons from succinate to ubiquinone (coenzyme Q).
Aliases: Succinate dehydrogenase [ubiquinone] iron-sulfur subunit, mitochondrial (EC 1.3.5.1) (Iron-sulfur subunit of complex II) (Ip), SDHB, SDH SDH1
-
UniProt
- P21912
Target
-