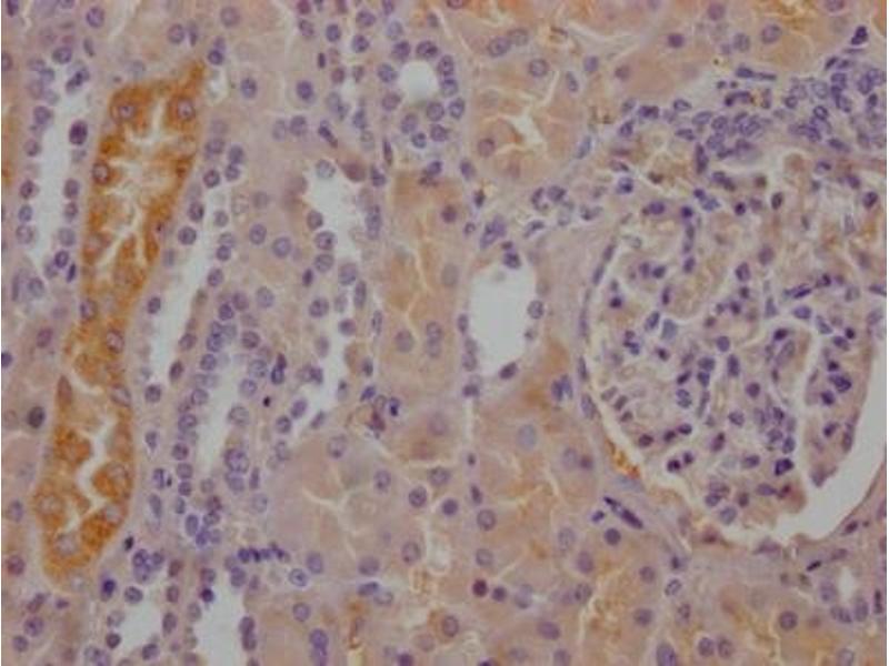
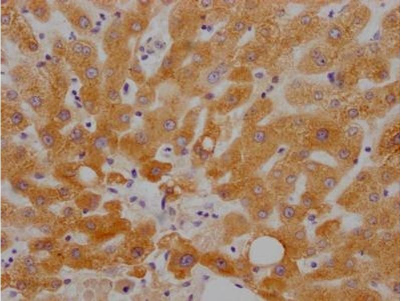
Rekombinanter RBP4 Antikörper
Kurzübersicht für Rekombinanter RBP4 Antikörper (ABIN7127790)
Target
Alle RBP4 Antikörper anzeigenAntikörpertyp
Reaktivität
Wirt
Klonalität
Konjugat
Applikation
Klon
-
-
Verwendungszweck
- RBP4 Recombinant Monoclonal Antibody
-
Aufreinigung
- Affinity-chromatography
-
Immunogen
- A synthesized peptide derived from human RBP4
-
Isotyp
- IgG
-
-
-
-
Applikationshinweise
- IHC:1:50-1:200
-
Beschränkungen
- Nur für Forschungszwecke einsetzbar
-
-
-
Format
- Liquid
-
Buffer
- phosphate buffered saline, pH 7.4, 150 mM NaCl, 0.02 % sodium azide and 50 % glycerol.
-
Konservierungsmittel
- Sodium azide
-
Vorsichtsmaßnahmen
- This product contains Sodium azide: a POISONOUS AND HAZARDOUS SUBSTANCE which should be handled by trained staff only.
-
Lagerung
- -20 °C,-80 °C
-
Informationen zur Lagerung
- Upon receipt, store at -20°C or -80°C. Avoid repeated freeze.
-
-
- RBP4 (Retinol Binding Protein 4, Plasma (RBP4))
-
Andere Bezeichnung
- RBP4
-
Hintergrund
-
Background: Delivers retinol from the liver stores to the peripheral tissues. In plasma, the RBP-retinol complex interacts with transthyretin, this prevents its loss by filtration through the kidney glomeruli.
Aliases: Retinol-binding protein 4 (Plasma retinol-binding protein) (PRBP) (RBP) [Cleaved into: Plasma retinol-binding protein(1-182), Plasma retinol-binding protein(1-181), Plasma retinol-binding protein(1-179), Plasma retinol-binding protein(1-176)], RBP4
-
UniProt
- P02753
-
Pathways
- Regulatorische RNA Pathways, Positive Regulation of Peptide Hormone Secretion, Carbohydrate Homeostasis, Production of Molecular Mediator of Immune Response
Target
-