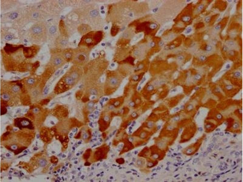
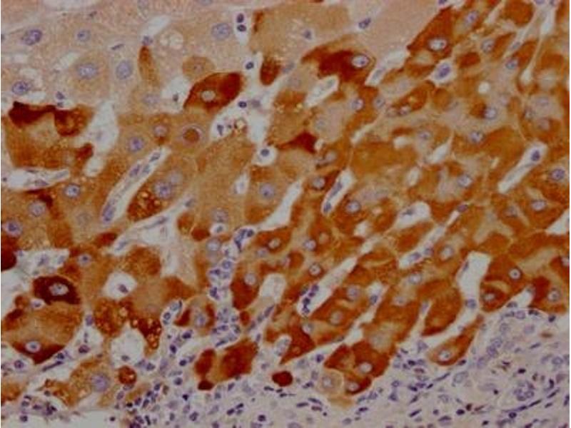
Rekombinanter LRG1 Antikörper
Kurzübersicht für Rekombinanter LRG1 Antikörper (ABIN7127603)
Target
Alle LRG1 Antikörper anzeigenAntikörpertyp
Reaktivität
Wirt
Klonalität
Konjugat
Applikation
Klon
-
-
Verwendungszweck
- LRG1 Recombinant Monoclonal Antibody
-
Aufreinigung
- Affinity-chromatography
-
Immunogen
- A synthesized peptide derived from human LRG1
-
Isotyp
- IgG
-
-
-
-
Applikationshinweise
- WB:1:500-1:5000, IHC:1:50-1:200
-
Beschränkungen
- Nur für Forschungszwecke einsetzbar
-
-
-
Format
- Liquid
-
Buffer
- phosphate buffered saline, pH 7.4, 150 mM NaCl, 0.02 % sodium azide and 50 % glycerol.
-
Konservierungsmittel
- Sodium azide
-
Vorsichtsmaßnahmen
- This product contains Sodium azide: a POISONOUS AND HAZARDOUS SUBSTANCE which should be handled by trained staff only.
-
Lagerung
- -20 °C,-80 °C
-
Informationen zur Lagerung
- Upon receipt, store at -20°C or -80°C. Avoid repeated freeze.
-
-
- LRG1 (Leucine-Rich alpha-2 Glycoprotein 1 (LRG1))
-
Andere Bezeichnung
- LRG1
-
Hintergrund
-
Background: extracellular exosome, extracellular region, extracellular space, ficolin-1-rich granule lumen, intracellular membrane-bounded organelle, membrane, specific granule lumen, tertiary granule lumen, neutrophil degranulation
Aliases: Leucine-rich alpha-2-glycoprotein (LRG), LRG1, LRG
-
UniProt
- P02750
-
Pathways
- Brown Fat Cell Differentiation
Target
-