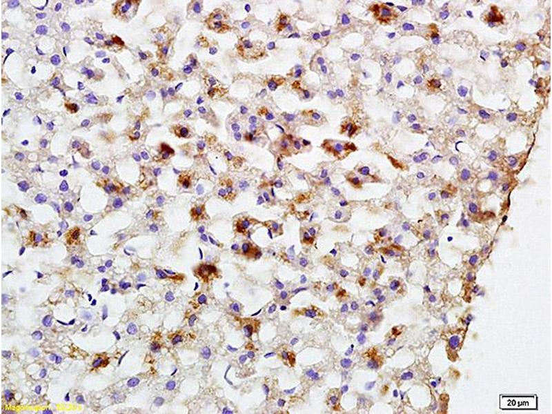
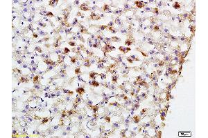
PEPCK Antikörper (AA 365-470)
Kurzübersicht für PEPCK Antikörper (AA 365-470) (ABIN708206)
Target
Alle PEPCK Antikörper anzeigenReaktivität
Wirt
Klonalität
Konjugat
Applikation
-
-
Bindungsspezifität
- AA 365-470
-
Kreuzreaktivität
- Ratte
-
Homologie
- Human,Mouse,Cow,Pig,Horse,Rabbit
-
Aufreinigung
- Purified by Protein A.
-
Immunogen
- KLH conjugated synthetic peptide derived from human PCK2
-
Isotyp
- IgG
-
-
-
-
Applikationshinweise
-
WB 1:300-5000
ELISA 1:500-1000
IHC-P 1:200-400
IHC-F 1:100-500
IF(IHC-P) 1:50-200
IF(IHC-F) 1:50-200
IF(ICC) 1:50-200 -
Beschränkungen
- Nur für Forschungszwecke einsetzbar
-
-
-
Format
- Liquid
-
Konzentration
- 1 μg/μL
-
Buffer
- 0.01M TBS( pH 7.4) with 1 % BSA, 0.02 % Proclin300 and 50 % Glycerol.
-
Konservierungsmittel
- ProClin
-
Vorsichtsmaßnahmen
- This product contains ProClin: a POISONOUS AND HAZARDOUS SUBSTANCE, which should be handled by trained staff only.
-
Lagerung
- 4 °C,-20 °C
-
Informationen zur Lagerung
- Shipped at 4°C. Store at -20°C for one year. Avoid repeated freeze/thaw cycles.
-
Haltbarkeit
- 12 months
-
-
- PEPCK (phosphoenolpyruvate Carboxykinase 2 (Mitochondrial) (PEPCK))
-
Andere Bezeichnung
- PCK2
-
Hintergrund
-
Synonyms: PEPCK, PEPCK2, PEPCK-M, Phosphoenolpyruvate carboxykinase [GTP], mitochondrial, PCK2
Background: Catalyzes the conversion of oxaloacetate (OAA) to phosphoenolpyruvate (PEP), the rate-limiting step in the metabolic pathway that produces glucose from lactate and other precursors derived from the citric acid cycle.
-
Gen-ID
- 5106
-
UniProt
- Q16822
-
Pathways
- Positive Regulation of Peptide Hormone Secretion, Carbohydrate Homeostasis
Target
-