Telefon:
+49 (0)241 95 163 153
Fax:
+49 (0)241 95 163 155
E-Mail:
orders@antikoerper-online.de

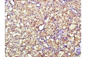
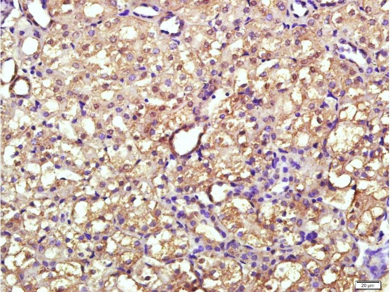
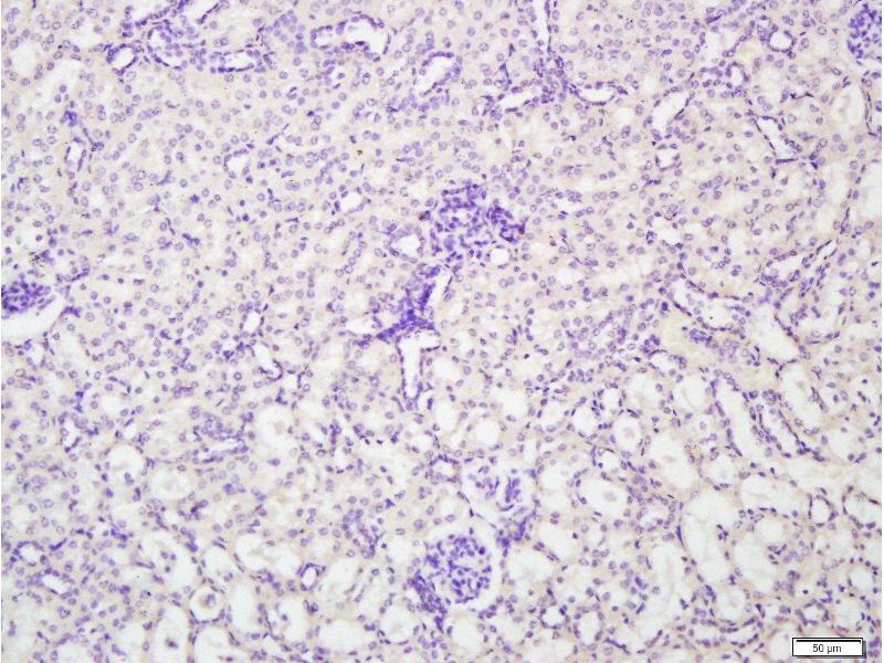
ENPP7 Antikörper (AA 351-458)

Der Kaninchen Polyklonal anti-ENPP7 Antikörper wird verwendet zum Nachweis von ENPP7 in Proben von Human und Maus. Er wurde validiert für WB, ELISA und IHC (p).
Produktnummer ABIN706286
357,70 €
Zzgl. Versandkosten 20,00 € und MwSt
100 μL
Lieferung nach: Deutschland
Lieferung in 8 bis 12 Werktagen

Kurzübersicht für ENPP7 Antikörper (AA 351-458) (ABIN706286)

Target

Alle ENPP7 Antikörper anzeigen
ENPP7 (Alkaline Sphingomyelinase (Alk-Smase))

Reaktivität

  • 30
  • 7
  • 5
  • 1
  • 1
  • 1
  • 1
  • 1
Human, Maus

Wirt

  • 27
  • 6
  • 3
Kaninchen

Klonalität

  • 32
  • 4
Polyklonal

Konjugat

  • 21
  • 3
  • 2
  • 2
  • 1
  • 1
  • 1
  • 1
  • 1
  • 1
  • 1
  • 1
Dieser ENPP7 Antikörper ist unkonjugiert

Applikation

  • 27
  • 14
  • 9
  • 8
  • 7
  • 5
  • 2
  • 1
Western Blotting (WB), ELISA, Immunohistochemistry (Paraffin-embedded Sections) (IHC (p))
  • Bindungsspezifität

    • 7
    • 4
    • 2
    • 2
    • 1
    • 1
    • 1
    • 1
    • 1
    • 1
    • 1
    • 1
    • 1
    AA 351-458

    Kreuzreaktivität

    Human, Maus

    Homologie

    Rat,Rabbit

    Aufreinigung

    Purified by Protein A.

    Immunogen

    KLH conjugated synthetic peptide derived from human ENPP7

    Isotyp

    IgG
  • Applikationshinweise

    WB 1:300-5000
    ELISA 1:500-1000
    IHC-P 1:200-400

    Beschränkungen

    Nur für Forschungszwecke einsetzbar
  • Format

    Liquid

    Konzentration

    1 μg/μL

    Buffer

    0.01M TBS( pH 7.4) with 1 % BSA, 0.02 % Proclin300 and 50 % Glycerol.

    Konservierungsmittel

    ProClin

    Vorsichtsmaßnahmen

    This product contains ProClin: a POISONOUS AND HAZARDOUS SUBSTANCE, which should be handled by trained staff only.

    Lagerung

    4 °C,-20 °C

    Informationen zur Lagerung

    Shipped at 4°C. Store at -20°C for one year. Avoid repeated freeze/thaw cycles.

    Haltbarkeit

    12 months
  • Target

    ENPP7 (Alkaline Sphingomyelinase (Alk-Smase))

    Andere Bezeichnung

    ENPP7

    Hintergrund

    Synonyms: ALK SMase, Alk-SMase, Alkaline sphingomyelin phosphodiesterase, E-NPP 7, Ectonucleotide pyrophosphatase/phosphodiesterase 7, Ectonucleotide pyrophosphatase/phosphodiesterase family member 7, ENPP7, ENPP7_HUMAN, Intestinal alkaline sphingomyelinase, NPP-7.

    Background: Converts sphingomyelin to ceramide. Also has phospholipase C activity toward palmitoyl lyso-phosphocholine. Does not appear to have nucleotide pyrophosphatase activity.

    Gen-ID

    339221
Sie sind hier:
Chat with us!