Telefon:
+49 (0)241 95 163 153
Fax:
+49 (0)241 95 163 155
E-Mail:
orders@antikoerper-online.de

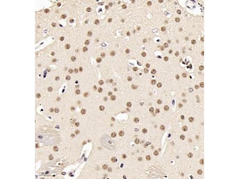
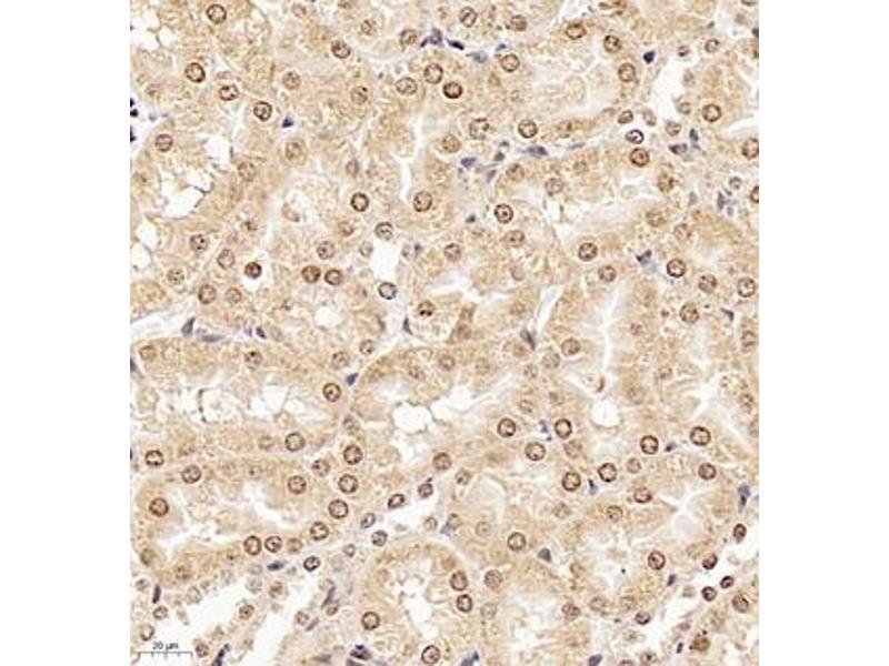
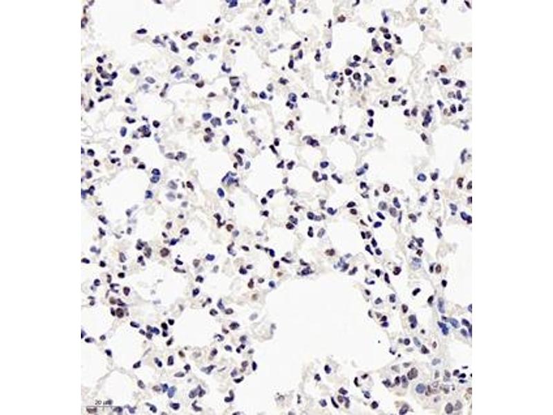
ube3a Antikörper

Dieser Kaninchen Polyklonal Antikörper detektiert spezifisch ube3a in IHC und IF. Es zeigt Reaktivität gegenüber Proben von Human, Maus und Ratte.
Produktnummer ABIN7076105
592,31 €
Zzgl. Versandkosten 20,00 € und MwSt
100 μL
Lieferung nach: Deutschland
Lieferung in 13 bis 20 Werktagen

Kurzübersicht für ube3a Antikörper (ABIN7076105)

Target

Alle ube3a Antikörper anzeigen
ube3a (Ubiquitin Protein Ligase E3A (ube3a))

Reaktivität

  • 60
  • 12
  • 8
  • 5
  • 4
  • 4
  • 4
  • 4
  • 4
  • 3
  • 2
  • 2
  • 1
  • 1
  • 1
  • 1
  • 1
Human, Maus, Ratte

Wirt

  • 50
  • 10
Kaninchen

Klonalität

  • 46
  • 14
Polyklonal

Konjugat

  • 34
  • 5
  • 3
  • 3
  • 2
  • 2
  • 1
  • 1
  • 1
  • 1
  • 1
  • 1
  • 1
  • 1
  • 1
  • 1
  • 1
Dieser ube3a Antikörper ist unkonjugiert

Applikation

  • 36
  • 17
  • 15
  • 13
  • 13
  • 13
  • 12
  • 9
  • 7
  • 4
  • 3
  • 1
Immunohistochemistry (IHC), Immunofluorescence (IF)
  • Kreuzreaktivität

    Human, Ratte

    Aufreinigung

    Affinity purification

    Immunogen

    Recombinant protein corresponding to Mouse UBE3A
  • Applikationshinweise

    IHC/IF (H,M,R) 1:100-1:500/1:500-1:1300

    Beschränkungen

    Nur für Forschungszwecke einsetzbar
  • Format

    Liquid

    Buffer

    PBS, pH 7.4, 0.02 % sodium azide

    Konservierungsmittel

    Sodium azide

    Vorsichtsmaßnahmen

    This product contains Sodium azide: a POISONOUS AND HAZARDOUS SUBSTANCE which should be handled by trained staff only.

    Lagerung

    -20 °C
  • Target

    ube3a (Ubiquitin Protein Ligase E3A (ube3a))

    Andere Bezeichnung

    UBE3A

    Hintergrund

    UBE3A (ubiquitin-protein ligase E3A, AKA E6AP) is an E3 ubiquitin-protein ligase which accepts ubiquitin from an E2 ubiquitin-conjugating enzyme in the form of a thioester and transfers it to its substrates. Several substrates have been identified including the ARNTL/BMAL1, ARC, RAD23A, RAD23B, MCM7, annexin A1, the PML tumor suppressor, and the cell cycle regulator CDKN1B. Additionally, UBE3A may function as a cellular quality control ubiquitin ligase by helping the degradation of the cytoplasmic misfolded proteins.

    Gen-ID

    22215

    NCBI Accession

    NP_035798

    UniProt

    O08759

    Pathways

    Intracellular Steroid Hormone Receptor Signaling Pathway
Sie sind hier:
Chat with us!