SR140 Antikörper
Kurzübersicht für SR140 Antikörper (ABIN7076091)
Target
Reaktivität
Wirt
Klonalität
Konjugat
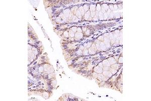
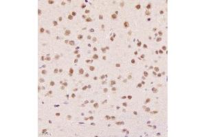
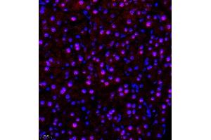
Applikation
-
-
Kreuzreaktivität
- Ratte
-
Aufreinigung
- Affinity purification
-
Immunogen
- Recombinant protein corresponding to Mouse SR140
-
-
-
-
Applikationshinweise
- IHC/IF (M,R) 1:1000-1:3000/1:600-1:1200
-
Beschränkungen
- Nur für Forschungszwecke einsetzbar
-
-
-
Format
- Liquid
-
Buffer
- PBS, pH 7.4, 0.02 % sodium azide
-
Konservierungsmittel
- Sodium azide
-
Vorsichtsmaßnahmen
- This product contains Sodium azide: a POISONOUS AND HAZARDOUS SUBSTANCE which should be handled by trained staff only.
-
Lagerung
- -20 °C
-
-
- SR140 (U2-Associated SR140 Protein (SR140))
-
Andere Bezeichnung
- SR140
-
Hintergrund
- U2SURP (U2 SnRNP Associated SURP Domain Containing) is a Protein Coding gene. Diseases associated with U2SURP include Retinitis Pigmentosa 67. Among its related pathways are Gene Expression and mRNA Splicing - Major Pathway. Gene Ontology (GO) annotations related to this gene include nucleic acid binding and RNA binding.
-
Gen-ID
- 67958
-
NCBI Accession
- NP_001108449
-
UniProt
- Q6NV83
Target
-