Telefon:
+49 (0)241 95 163 153
Fax:
+49 (0)241 95 163 155
E-Mail:
orders@antikoerper-online.de

TCRb Antikörper

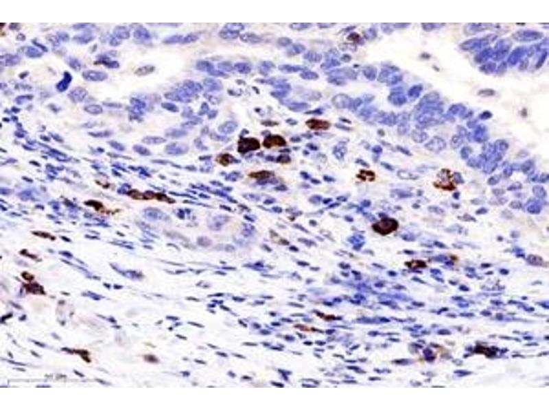
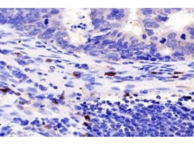
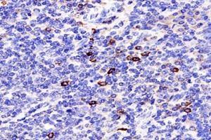
Der Kaninchen Polyklonal anti-TCRb Antikörper (ABIN7075813) detektiert spezifisch TCRb in IHC und IF. Dieser Antikörper reagiert spezifisch mit Proben aus Human.
Produktnummer ABIN7075813
592,31 €
Zzgl. Versandkosten 20,00 € und MwSt
100 μL
Lieferung nach: Deutschland
Lieferung in 13 bis 20 Werktagen

Kurzübersicht für TCRb Antikörper (ABIN7075813)

Target

Alle TCRb Antikörper anzeigen
TCRb (T Cell Receptor beta Chain (TCRb))

Reaktivität

  • 14
  • 8
Human

Wirt

  • 8
  • 7
  • 6
  • 1
Kaninchen

Klonalität

  • 14
  • 8
Polyklonal

Konjugat

  • 8
  • 3
  • 2
  • 2
  • 2
  • 1
  • 1
  • 1
  • 1
  • 1
Dieser TCRb Antikörper ist unkonjugiert

Applikation

  • 15
  • 6
  • 6
  • 5
  • 3
  • 3
  • 1
  • 1
Immunohistochemistry (IHC), Immunofluorescence (IF)
Sie sind hier:
Chat with us!