Telefon:
+49 (0)241 95 163 153
Fax:
+49 (0)241 95 163 155
E-Mail:
orders@antikoerper-online.de

SCPEP1 Antikörper

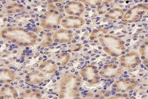
Der Kaninchen Polyklonal anti-SCPEP1 Antikörper (ABIN7075546) detektiert spezifisch SCPEP1 in IHC und IF. Dieser Antikörper reagiert spezifisch mit Proben aus Ratte und Maus.
Produktnummer ABIN7075546
592,31 €
Zzgl. Versandkosten 20,00 € und MwSt
100 μL
Lieferung nach: Deutschland
Lieferung in 13 bis 20 Werktagen

Kurzübersicht für SCPEP1 Antikörper (ABIN7075546)

Target

Alle SCPEP1 Antikörper anzeigen
SCPEP1 (serine Carboxypeptidase 1 (SCPEP1))

Reaktivität

  • 32
  • 6
  • 5
Ratte, Maus

Wirt

  • 34
Kaninchen

Klonalität

  • 34
Polyklonal

Konjugat

  • 9
  • 3
  • 2
  • 2
  • 1
  • 1
  • 1
  • 1
  • 1
  • 1
  • 1
  • 1
  • 1
  • 1
  • 1
  • 1
  • 1
  • 1
  • 1
  • 1
  • 1
  • 1
Dieser SCPEP1 Antikörper ist unkonjugiert

Applikation

  • 13
  • 13
  • 9
  • 8
  • 5
  • 3
  • 3
  • 3
  • 2
  • 1
  • 1
Immunohistochemistry (IHC), Immunofluorescence (IF)
  • Kreuzreaktivität

    Ratte

    Aufreinigung

    Affinity purification

    Immunogen

    Recombinant protein corresponding to Mouse RISC
  • Applikationshinweise

    IHC/IF (M,R) 1:2000-1:4000

    Beschränkungen

    Nur für Forschungszwecke einsetzbar
  • Format

    Liquid

    Buffer

    PBS, pH 7.4, 0.02 % sodium azide

    Konservierungsmittel

    Sodium azide

    Vorsichtsmaßnahmen

    This product contains Sodium azide: a POISONOUS AND HAZARDOUS SUBSTANCE which should be handled by trained staff only.

    Lagerung

    -20 °C
  • Target

    SCPEP1 (serine Carboxypeptidase 1 (SCPEP1))

    Andere Bezeichnung

    RISC

    Hintergrund

    Vascular smooth muscle activation is a salient feature of several pathological conditions including atherosclerosis, hypertension, vein graft failure, restenosis, and transplant arteriopathy. Several new genes whose proteins could lead to such biological effects have been identified. One such protein is RISC. Tissue expression pattern of Retinoid-inducible serine carboxypeptidase (RISC) in human revealed that it was highly expressed in kidney and heart.

    Gen-ID

    74617

    NCBI Accession

    NP_083299

    UniProt

    Q920A5
Sie sind hier:
Chat with us!