Telefon:
+49 (0)241 95 163 153
Fax:
+49 (0)241 95 163 155
E-Mail:
orders@antikoerper-online.de

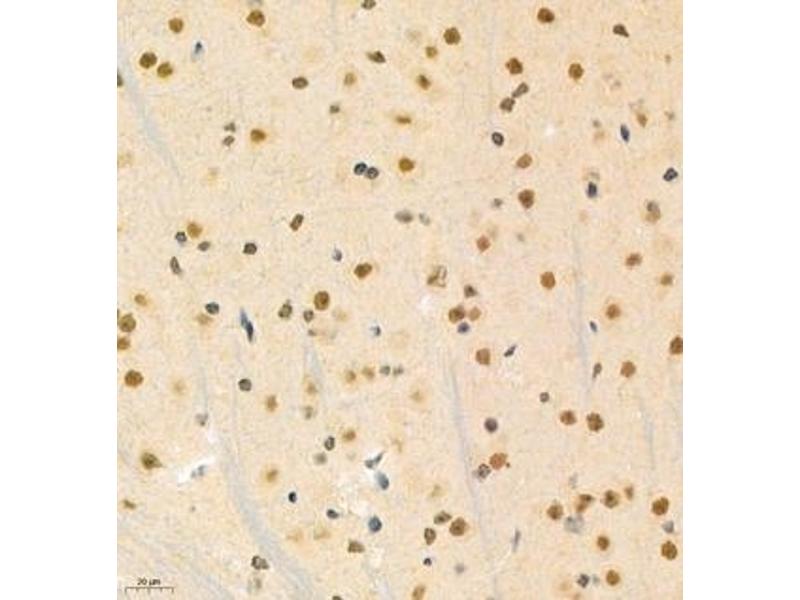
PHF10 Antikörper

Der Kaninchen Polyklonal anti-PHF10 Antikörper wird verwendet zum Nachweis von PHF10 in Proben von Maus und Ratte. Er wurde validiert für IHC und IF.
Produktnummer ABIN7075029
592,31 €
Zzgl. Versandkosten 20,00 € und MwSt
100 μL
Lieferung nach: Deutschland
Lieferung in 13 bis 20 Werktagen

Kurzübersicht für PHF10 Antikörper (ABIN7075029)

Target

Alle PHF10 Antikörper anzeigen
PHF10 (PHD Finger Protein 10 (PHF10))

Reaktivität

  • 19
  • 3
  • 3
  • 2
  • 2
  • 1
  • 1
  • 1
  • 1
Maus, Ratte

Wirt

  • 16
  • 3
Kaninchen

Klonalität

  • 17
  • 1
Polyklonal

Konjugat

  • 13
  • 2
  • 2
  • 2
Dieser PHF10 Antikörper ist unkonjugiert

Applikation

  • 13
  • 11
  • 6
  • 3
  • 2
  • 2
  • 1
  • 1
  • 1
Immunohistochemistry (IHC), Immunofluorescence (IF)
  • Kreuzreaktivität

    Maus, Ratte

    Aufreinigung

    Affinity purification

    Immunogen

    Recombinant protein corresponding to Human PHF10
  • Applikationshinweise

    IHC/IF (M,R) 1:1200-1:2400/1:650-1:1300

    Beschränkungen

    Nur für Forschungszwecke einsetzbar
  • Format

    Liquid

    Buffer

    PBS, pH 7.4, 0.02 % sodium azide

    Konservierungsmittel

    Sodium azide

    Vorsichtsmaßnahmen

    This product contains Sodium azide: a POISONOUS AND HAZARDOUS SUBSTANCE which should be handled by trained staff only.

    Lagerung

    -20 °C
  • Target

    PHF10 (PHD Finger Protein 10 (PHF10))

    Andere Bezeichnung

    PHF10

    Hintergrund

    Involved in transcription activity regulation by chromatin remodeling. Belongs to the neural progenitors-specific chromatin remodeling complex (npBAF complex) and is required for the proliferation of neural progenitors. During neural development a switch from a stem/progenitor to a post-mitotic chromatin remodeling mechanism occurs as neurons exit the cell cycle and become committed to their adult state.

    Gen-ID

    72057

    NCBI Accession

    NP_060758

    UniProt

    Q8WUB8
Sie sind hier:
Chat with us!