Telefon:
+49 (0)241 95 163 153
Fax:
+49 (0)241 95 163 155
E-Mail:
orders@antikoerper-online.de

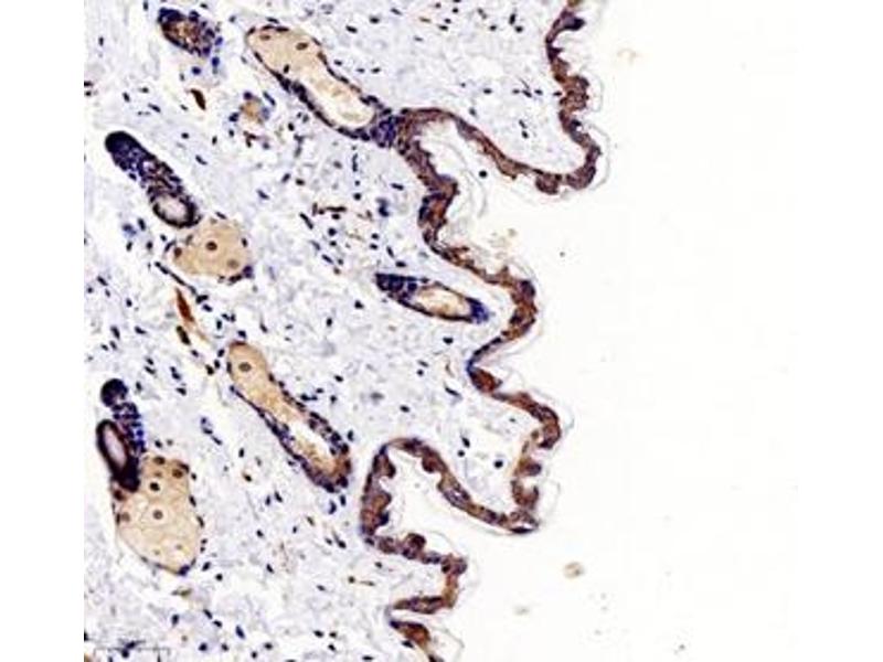
PALLD Antikörper

Der Kaninchen Polyklonal anti-PALLD Antikörper (ABIN7074976) detektiert spezifisch PALLD in WB, IHC und IF. Dieser Antikörper reagiert spezifisch mit Proben aus Human, Maus und Ratte.
Produktnummer ABIN7074976
592,31 €
Zzgl. Versandkosten 20,00 € und MwSt
100 μL
Lieferung nach: Deutschland
Lieferung in 13 bis 20 Werktagen

Kurzübersicht für PALLD Antikörper (ABIN7074976)

Target

Alle PALLD Antikörper anzeigen
PALLD (Palladin, Cytoskeletal Associated Protein (PALLD))

Reaktivität

  • 19
  • 5
  • 2
  • 1
Human, Maus, Ratte

Wirt

  • 14
  • 2
  • 2
  • 1
Kaninchen

Klonalität

  • 17
  • 2
Polyklonal

Konjugat

  • 19
Dieser PALLD Antikörper ist unkonjugiert

Applikation

  • 14
  • 11
  • 6
  • 5
  • 4
  • 2
  • 1
  • 1
Western Blotting (WB), Immunohistochemistry (IHC), Immunofluorescence (IF)
Sie sind hier:
Chat with us!