Telefon:
+49 (0)241 95 163 153
Fax:
+49 (0)241 95 163 155
E-Mail:
orders@antikoerper-online.de

p46 Antikörper

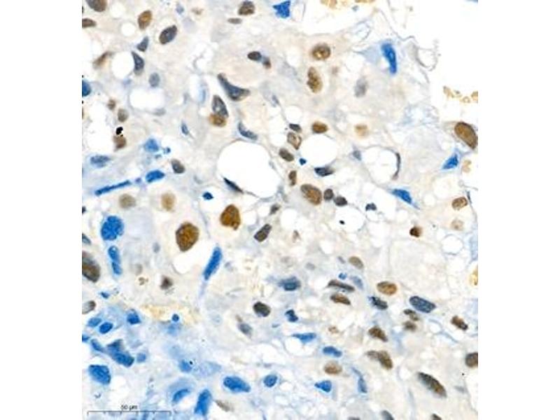
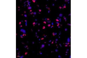
Der Kaninchen Polyklonal anti-p46 Antikörper (ABIN7074970) detektiert spezifisch p46 in IF und IHC. Dieser Antikörper reagiert spezifisch mit Proben aus Maus und Ratte.
Produktnummer ABIN7074970
592,31 €
Zzgl. Versandkosten 20,00 € und MwSt
100 μL
Lieferung nach: Deutschland
Lieferung in 13 bis 20 Werktagen

Kurzübersicht für p46 Antikörper (ABIN7074970)

Target

p46

Reaktivität

Maus, Ratte

Wirt

  • 9
  • 2
Kaninchen

Klonalität

  • 9
  • 2
Polyklonal

Konjugat

  • 4
  • 3
  • 2
  • 2
Unkonjugiert

Applikation

  • 9
  • 1
  • 1
Immunofluorescence (IF), Immunohistochemistry (IHC)
  • Kreuzreaktivität

    Ratte

    Aufreinigung

    Affinity purification

    Immunogen

    Recombinant protein corresponding to Mouse p46
  • Applikationshinweise

    IHC/IF (M,R) 1:900-1:1800/1:500-1:2000

    Beschränkungen

    Nur für Forschungszwecke einsetzbar
  • Format

    Liquid

    Buffer

    PBS, pH 7.4, 0.02 % sodium azide

    Konservierungsmittel

    Sodium azide

    Vorsichtsmaßnahmen

    This product contains Sodium azide: a POISONOUS AND HAZARDOUS SUBSTANCE which should be handled by trained staff only.

    Lagerung

    -20 °C
  • Target

    p46

    Hintergrund

    This protein Is involved in regulation of translation. Is preferentially associated with CBC-bound spliced mRNA-protein complexes during the pioneer round of mRNA translation. Contributes to enhanced translational efficiency of spliced over nonspliced mRNAs. Recruits activated ribosomal protein S6 kinase beta-1 I/RPS6KB1 to newly synthesized mRNA.

    Gen-ID

    73826

    NCBI Accession

    NP_001334011

    UniProt

    Q8BG81
Sie sind hier:
Chat with us!