Telefon:
+49 (0)241 95 163 153
Fax:
+49 (0)241 95 163 155
E-Mail:
orders@antikoerper-online.de

NSFL1C Antikörper

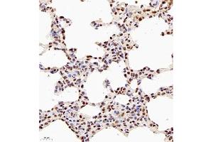
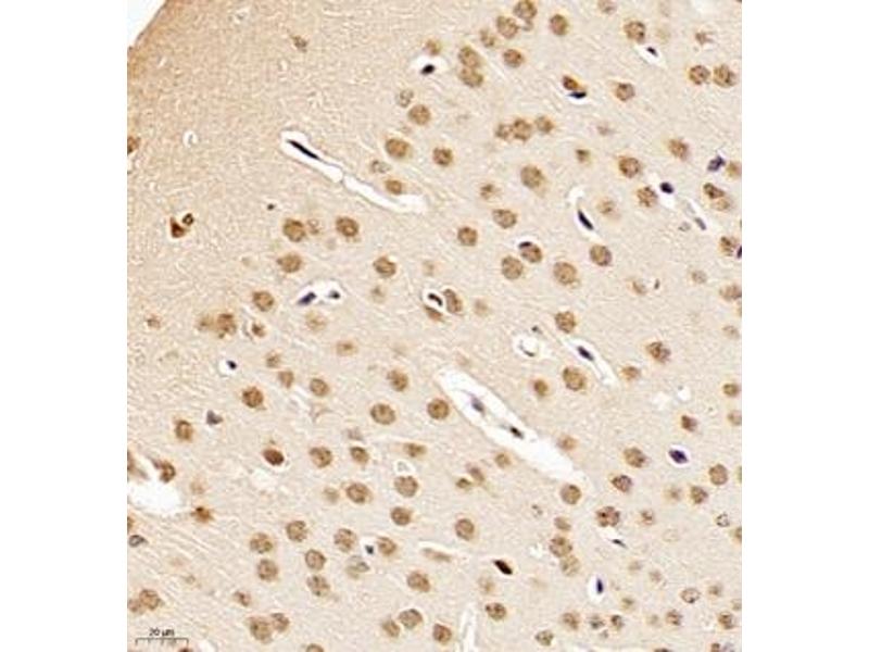
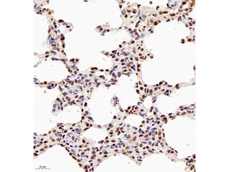
Der Kaninchen Polyklonal anti-NSFL1C Antikörper (ABIN7074865) detektiert spezifisch NSFL1C in IF und IHC. Dieser Antikörper reagiert spezifisch mit Proben aus Maus und Ratte.
Produktnummer ABIN7074865
592,31 €
Zzgl. Versandkosten 20,00 € und MwSt
100 μL
Lieferung nach: Deutschland
Lieferung in 13 bis 20 Werktagen

Kurzübersicht für NSFL1C Antikörper (ABIN7074865)

Target

Alle NSFL1C Antikörper anzeigen
NSFL1C (NSFL1 (p97) Cofactor (p47) (NSFL1C))

Reaktivität

  • 26
  • 15
  • 10
Maus, Ratte

Wirt

  • 24
  • 2
Kaninchen

Klonalität

  • 26
Polyklonal

Konjugat

  • 19
  • 1
  • 1
  • 1
  • 1
  • 1
  • 1
  • 1
Dieser NSFL1C Antikörper ist unkonjugiert

Applikation

  • 18
  • 6
  • 5
  • 5
  • 4
  • 3
  • 3
  • 1
  • 1
Immunofluorescence (IF), Immunohistochemistry (IHC)
Sie sind hier:
Chat with us!