Telefon:
+49 (0)241 95 163 153
Fax:
+49 (0)241 95 163 155
E-Mail:
orders@antikoerper-online.de

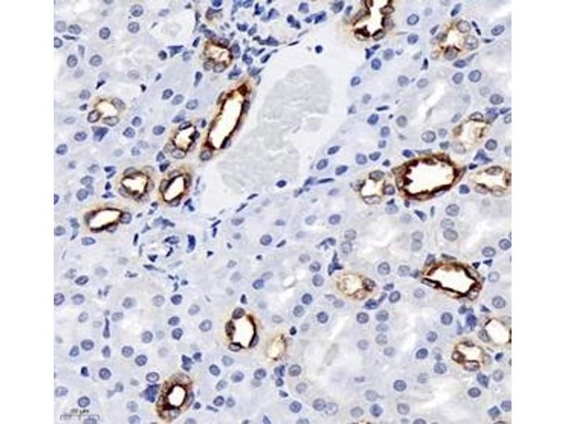
MAL2 Antikörper

Der Kaninchen Polyklonal anti-MAL2 Antikörper wird verwendet zum Nachweis von MAL2 in Proben von Human, Maus und Ratte. Er wurde validiert für WB, IF und IHC.
Produktnummer ABIN7074549
592,31 €
Zzgl. Versandkosten 20,00 € und MwSt
100 μL
Lieferung nach: Deutschland
Lieferung in 13 bis 20 Werktagen

Kurzübersicht für MAL2 Antikörper (ABIN7074549)

Target

Alle MAL2 Antikörper anzeigen
MAL2 (Mal, T Cell Differentiation Protein 2 (MAL2))

Reaktivität

Human, Maus, Ratte

Wirt

  • 6
Kaninchen

Klonalität

  • 6
Polyklonal

Konjugat

  • 6
Dieser MAL2 Antikörper ist unkonjugiert

Applikation

  • 6
  • 4
  • 3
  • 3
  • 1
  • 1
  • 1
  • 1
  • 1
  • 1
Western Blotting (WB), Immunofluorescence (IF), Immunohistochemistry (IHC)
  • Kreuzreaktivität

    Human, Ratte

    Aufreinigung

    Affinity purification

    Immunogen

    KLH conjugated Synthetic peptide corresponding to Mouse MAL2
  • Applikationshinweise

    WB (H,M) 1:500-1:1000, IHC/IF (M,R) 1:300-1:1400/1:600-1:1600

    Beschränkungen

    Nur für Forschungszwecke einsetzbar
  • Format

    Liquid

    Buffer

    PBS, pH 7.4, 0.02 % sodium azide

    Konservierungsmittel

    Sodium azide

    Vorsichtsmaßnahmen

    This product contains Sodium azide: a POISONOUS AND HAZARDOUS SUBSTANCE which should be handled by trained staff only.

    Lagerung

    -20 °C
  • Target

    MAL2 (Mal, T Cell Differentiation Protein 2 (MAL2))

    Andere Bezeichnung

    MAL2

    Hintergrund

    MAL2 (mal, T-cell differentiation protein 2) is a 176 amino acid multi-pass membrane protein that is associated with lipid rafts and contains one MARVEL domain. Expressed predominately in liver, kidney and lung, MAL2 functions as a member of the polarized machinery transport system and is required for transcytosis, a transporter pathway used to deliver membrane-bound cargo from perinuclear endosomes to the apical surface in a raft-dependent manner. Differential expression of MAL2 is associated with several cancers, including renal cell carcinoma and childhood leukemia, suggesting a role for MAL2 in tumorigensis.

    Molekulargewicht

    30 kDa

    Gen-ID

    105853

    NCBI Accession

    NP_849251

    UniProt

    Q8BI08
Sie sind hier:
Chat with us!