Telefon:
+49 (0)241 95 163 153
Fax:
+49 (0)241 95 163 155
E-Mail:
orders@antikoerper-online.de

LOXL4 Antikörper

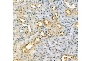
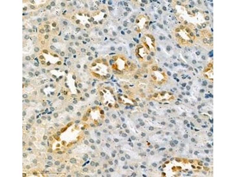
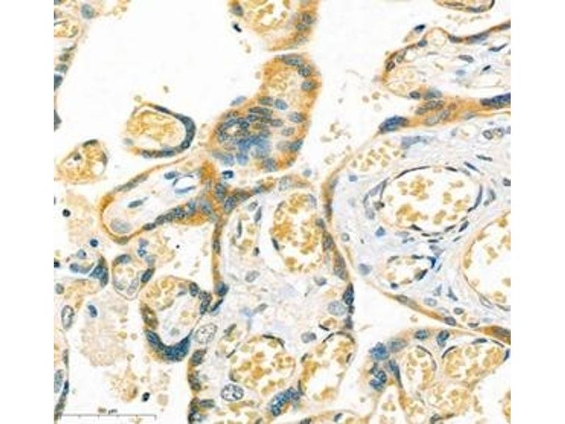
Der Kaninchen Polyklonal anti-LOXL4 Antikörper (ABIN7074541) detektiert spezifisch LOXL4 in IHC und IF. Dieser Antikörper reagiert spezifisch mit Proben aus Human und Maus.
Produktnummer ABIN7074541
592,31 €
Zzgl. Versandkosten 20,00 € und MwSt
100 μL
Lieferung nach: Deutschland
Lieferung in 13 bis 20 Werktagen

Kurzübersicht für LOXL4 Antikörper (ABIN7074541)

Target

Alle LOXL4 Antikörper anzeigen
LOXL4 (Lysyl Oxidase-Like 4 (LOXL4))

Reaktivität

  • 48
  • 19
  • 18
Human, Maus

Wirt

  • 51
  • 4
Kaninchen

Klonalität

  • 52
  • 3
Polyklonal

Konjugat

  • 21
  • 7
  • 5
  • 3
  • 1
  • 1
  • 1
  • 1
  • 1
  • 1
  • 1
  • 1
  • 1
  • 1
  • 1
  • 1
  • 1
  • 1
  • 1
  • 1
  • 1
  • 1
  • 1
Dieser LOXL4 Antikörper ist unkonjugiert

Applikation

  • 40
  • 22
  • 13
  • 13
  • 7
  • 5
  • 3
  • 3
  • 3
  • 1
  • 1
  • 1
Immunohistochemistry (IHC), Immunofluorescence (IF)
  • Kreuzreaktivität

    Human

    Aufreinigung

    Affinity purification

    Immunogen

    Recombinant protein corresponding to Mouse LOXL4
  • Applikationshinweise

    IHC/IF (H,M) 1:400-1:800

    Beschränkungen

    Nur für Forschungszwecke einsetzbar
  • Format

    Liquid

    Buffer

    PBS, pH 7.4, 0.02 % sodium azide

    Konservierungsmittel

    Sodium azide

    Vorsichtsmaßnahmen

    This product contains Sodium azide: a POISONOUS AND HAZARDOUS SUBSTANCE which should be handled by trained staff only.

    Lagerung

    -20 °C
  • Target

    LOXL4 (Lysyl Oxidase-Like 4 (LOXL4))

    Andere Bezeichnung

    LOXL4

    Hintergrund

    This gene encodes a member of the lysyl oxidase gene family. The prototypic member of the family is essential to the biogenesis of connective tissue, encoding an extracellular copper-dependent amine oxidase that catalyses the first step in the formation of crosslinks in collagens and elastin. A highly conserved amino acid sequence at the C-terminus end appears to be sufficient for amine oxidase activity, suggesting that each family member may retain this function. The N-terminus is poorly conserved and may impart additional roles in developmental regulation, senescence, tumor suppression, cell growth control, and chemotaxis to each member of the family.

    Gen-ID

    67573

    NCBI Accession

    NP_444313

    UniProt

    Q924C6
Sie sind hier:
Chat with us!