Telefon:
+49 (0)241 95 163 153
Fax:
+49 (0)241 95 163 155
E-Mail:
orders@antikoerper-online.de

Galanin Antikörper

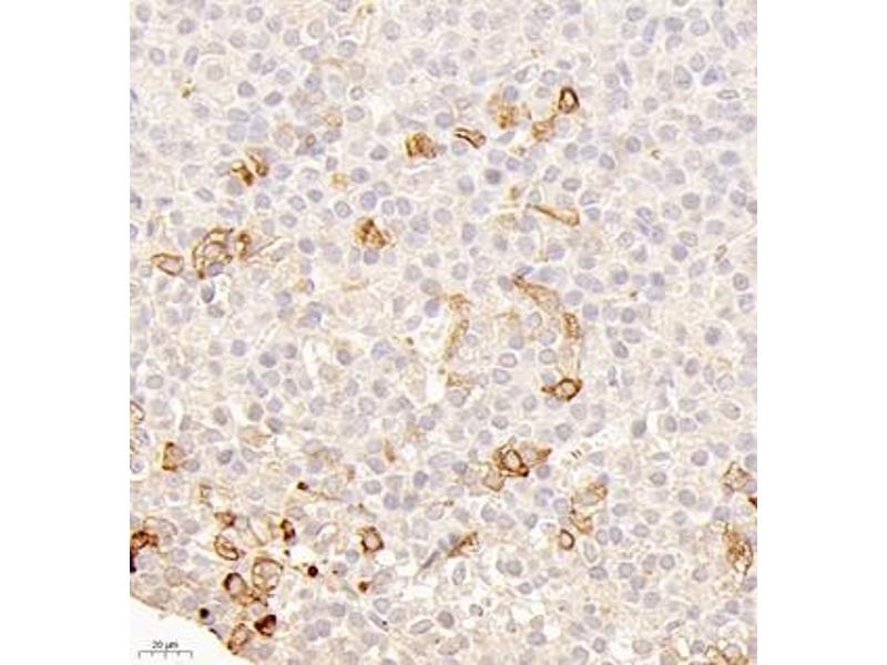
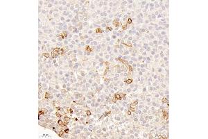
Der Kaninchen Polyklonal anti-Galanin Antikörper (ABIN7074010) detektiert spezifisch Galanin in IHC und IF. Dieser Antikörper reagiert spezifisch mit Proben aus Maus und Ratte.
Produktnummer ABIN7074010
592,31 €
Zzgl. Versandkosten 20,00 € und MwSt
100 μL
Lieferung nach: Deutschland
Lieferung in 13 bis 20 Werktagen

Kurzübersicht für Galanin Antikörper (ABIN7074010)

Target

Alle Galanin (GAL) Antikörper anzeigen
Galanin (GAL)

Reaktivität

  • 32
  • 5
  • 4
  • 3
  • 1
  • 1
Maus, Ratte

Wirt

  • 33
  • 5
  • 1
Kaninchen

Klonalität

  • 35
  • 4
Polyklonal

Konjugat

  • 22
  • 7
  • 4
  • 2
  • 2
  • 1
  • 1
Dieser Galanin Antikörper ist unkonjugiert

Applikation

  • 25
  • 20
  • 14
  • 13
  • 13
  • 7
  • 6
  • 6
  • 4
  • 3
  • 1
  • 1
  • 1
  • 1
  • 1
  • 1
Immunohistochemistry (IHC), Immunofluorescence (IF)
  • Kreuzreaktivität

    Maus, Ratte

    Aufreinigung

    Affinity purification

    Immunogen

    Recombinant protein corresponding to Human Galanin
  • Applikationshinweise

    IHC/IF (M,R) 1:500-1:2000

    Beschränkungen

    Nur für Forschungszwecke einsetzbar
  • Format

    Liquid

    Buffer

    PBS, pH 7.4, 0.02 % sodium azide

    Konservierungsmittel

    Sodium azide

    Vorsichtsmaßnahmen

    This product contains Sodium azide: a POISONOUS AND HAZARDOUS SUBSTANCE which should be handled by trained staff only.

    Lagerung

    -20 °C
  • Target

    Galanin (GAL)

    Andere Bezeichnung

    Galanin

    Hintergrund

    Galanin is small neuropeptide that functions as a cellular messenger within the central and peripheral nervous systems, modulating diverse physiologic functions .

    Gen-ID

    14419

    NCBI Accession

    NP_034383

    UniProt

    P47212

    Pathways

    Regulation of Hormone Metabolic Process, Feeding Behaviour
Sie sind hier:
Chat with us!