Telefon:
+49 (0)241 95 163 153
Fax:
+49 (0)241 95 163 155
E-Mail:
orders@antikoerper-online.de

FGF11 Antikörper

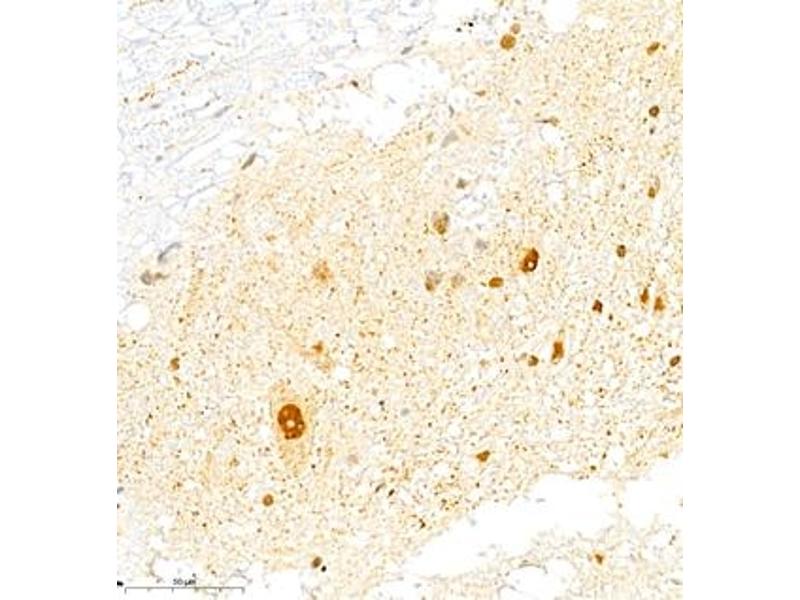
Der Kaninchen Polyklonal anti-FGF11 Antikörper (ABIN7073941) detektiert spezifisch FGF11 in IHC und IF. Dieser Antikörper reagiert spezifisch mit Proben aus Maus und Ratte.
Produktnummer ABIN7073941
592,31 €
Zzgl. Versandkosten 20,00 € und MwSt
100 μL
Lieferung nach: Deutschland
Lieferung in 13 bis 20 Werktagen

Kurzübersicht für FGF11 Antikörper (ABIN7073941)

Target

Alle FGF11 Antikörper anzeigen
FGF11 (Fibroblast Growth Factor 11 (FGF11))

Reaktivität

  • 43
  • 8
  • 6
  • 3
  • 3
  • 3
  • 2
  • 2
  • 2
  • 1
  • 1
Maus, Ratte

Wirt

  • 36
  • 9
Kaninchen

Klonalität

  • 36
  • 9
Polyklonal

Konjugat

  • 22
  • 2
  • 2
  • 2
  • 1
  • 1
  • 1
  • 1
  • 1
  • 1
  • 1
  • 1
  • 1
  • 1
  • 1
  • 1
  • 1
  • 1
  • 1
  • 1
  • 1
Dieser FGF11 Antikörper ist unkonjugiert

Applikation

  • 40
  • 18
  • 14
  • 13
  • 13
  • 9
  • 9
  • 5
  • 5
  • 3
  • 1
Immunohistochemistry (IHC), Immunofluorescence (IF)
  • Kreuzreaktivität

    Ratte

    Aufreinigung

    Affinity purification

    Immunogen

    KLH conjugated Synthetic peptide corresponding to Mouse FGF11
  • Applikationshinweise

    IHC/IF (M,R) 1:1000-1:3000/1:750-1:2000

    Beschränkungen

    Nur für Forschungszwecke einsetzbar
  • Format

    Liquid

    Buffer

    PBS, pH 7.4, 0.02 % sodium azide

    Konservierungsmittel

    Sodium azide

    Vorsichtsmaßnahmen

    This product contains Sodium azide: a POISONOUS AND HAZARDOUS SUBSTANCE which should be handled by trained staff only.

    Lagerung

    -20 °C
  • Target

    FGF11 (Fibroblast Growth Factor 11 (FGF11))

    Andere Bezeichnung

    FGF11

    Hintergrund

    The protein encoded by this gene is a member of the fibroblast growth factor (FGF) family. FGF family members possess broad mitogenic and cell survival activities, and are involved in a variety of biological processes, including embryonic development, cell growth, morphogenesis, tissue repair, tumor growth and invasion. The function of this gene has not yet been determined. The expression pattern of the mouse homolog implies a role in nervous system development.

    Gen-ID

    14166

    UniProt

    P70378
Sie sind hier:
Chat with us!