Telefon:
+49 (0)241 95 163 153
Fax:
+49 (0)241 95 163 155
E-Mail:
orders@antikoerper-online.de

FAM117B Antikörper

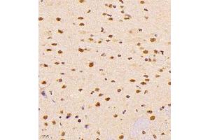
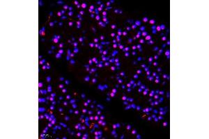
Dieser Kaninchen Polyklonal Antikörper detektiert spezifisch FAM117B in IF und IHC. Es zeigt Reaktivität gegenüber Proben von Maus und Ratte.
Produktnummer ABIN7073909
592,31 €
Zzgl. Versandkosten 20,00 € und MwSt
100 μL
Lieferung nach: Deutschland
Lieferung in 13 bis 20 Werktagen

Kurzübersicht für FAM117B Antikörper (ABIN7073909)

Target

FAM117B (Family with Sequence Similarity 117, Member B (FAM117B))

Reaktivität

  • 22
  • 7
  • 3
  • 1
  • 1
  • 1
  • 1
  • 1
  • 1
Maus, Ratte

Wirt

  • 22
Kaninchen

Klonalität

  • 22
Polyklonal

Konjugat

  • 12
  • 2
  • 1
  • 1
  • 1
  • 1
  • 1
  • 1
  • 1
  • 1
Dieser FAM117B Antikörper ist unkonjugiert

Applikation

  • 12
  • 11
  • 3
  • 2
  • 1
  • 1
  • 1
Immunofluorescence (IF), Immunohistochemistry (IHC)
Sie sind hier:
Chat with us!