Telefon:
+49 (0)241 95 163 153
Fax:
+49 (0)241 95 163 155
E-Mail:
orders@antikoerper-online.de

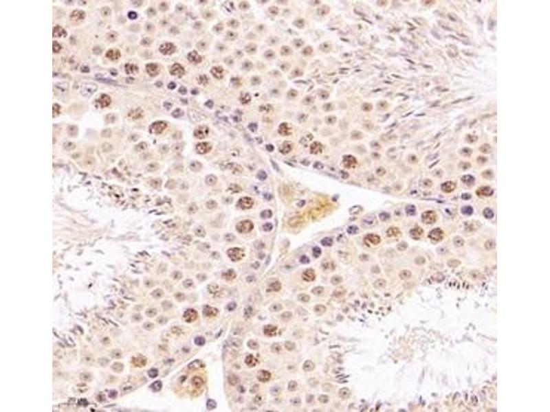
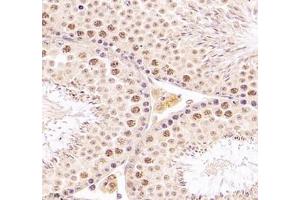
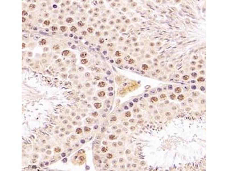
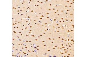
DMRTA2 Antikörper

Dieser Kaninchen Polyklonal Antikörper detektiert spezifisch DMRTA2 in WB, IHC und IF. Es zeigt Reaktivität gegenüber Proben von Human, Maus und Ratte.
Produktnummer ABIN7073753
592,31 €
Zzgl. Versandkosten 20,00 € und MwSt
100 μL
Lieferung nach: Deutschland
Lieferung in 13 bis 20 Werktagen

Kurzübersicht für DMRTA2 Antikörper (ABIN7073753)

Target

Alle DMRTA2 Antikörper anzeigen
DMRTA2 (DMRT-Like Family A2 (DMRTA2))

Reaktivität

  • 30
  • 6
  • 3
  • 3
  • 2
  • 2
  • 1
  • 1
  • 1
  • 1
  • 1
Human, Maus, Ratte

Wirt

  • 30
Kaninchen

Klonalität

  • 30
Polyklonal

Konjugat

  • 11
  • 2
  • 2
  • 2
  • 1
  • 1
  • 1
  • 1
  • 1
  • 1
  • 1
  • 1
  • 1
  • 1
  • 1
  • 1
  • 1
Dieser DMRTA2 Antikörper ist unkonjugiert

Applikation

  • 29
  • 13
  • 13
  • 11
  • 4
  • 4
  • 3
  • 3
  • 1
  • 1
Western Blotting (WB), Immunohistochemistry (IHC), Immunofluorescence (IF)
  • Kreuzreaktivität

    Human, Ratte

    Aufreinigung

    Affinity purification

    Immunogen

    Recombinant protein corresponding to Mouse DMRTA2
  • Applikationshinweise

    WB (H) 1:500-1:1000, IHC/IF (M,R) 1:700-1:1400/1:600-1:1200

    Beschränkungen

    Nur für Forschungszwecke einsetzbar
  • Format

    Liquid

    Buffer

    PBS, pH 7.4, 0.02 % sodium azide

    Konservierungsmittel

    Sodium azide

    Vorsichtsmaßnahmen

    This product contains Sodium azide: a POISONOUS AND HAZARDOUS SUBSTANCE which should be handled by trained staff only.

    Lagerung

    -20 °C
  • Target

    DMRTA2 (DMRT-Like Family A2 (DMRTA2))

    Andere Bezeichnung

    DMRTA2

    Hintergrund

    DMRTA2 is a 542 amino acid protein that localizes to the nucleus and contains one DM DNA-binding domain. Expressed testis, DMRTA2 is thought to be involved in sexual developmental processes during maturation. The gene encoding DMRTA2 maps to human chromosome 1, which spans 260 million base pairs, contains over 3,000 genes and comprises nearly 8 % of the human genome. Chromosome 1 houses a large number of disease-associated genes, including those that are involved in familial adenomatous polyposis, Stickler syndrome.

    Molekulargewicht

    53 kDa

    Gen-ID

    242620

    NCBI Accession

    NP_758500

    UniProt

    A2A9A2
Sie sind hier:
Chat with us!