Telefon:
+49 (0)241 95 163 153
Fax:
+49 (0)241 95 163 155
E-Mail:
orders@antikoerper-online.de

DPYSL4 Antikörper

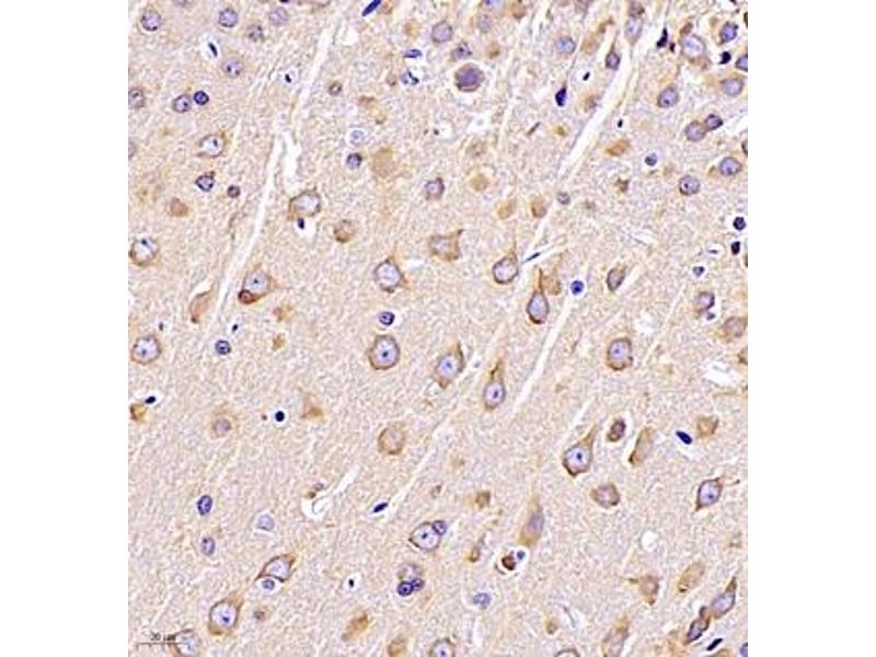
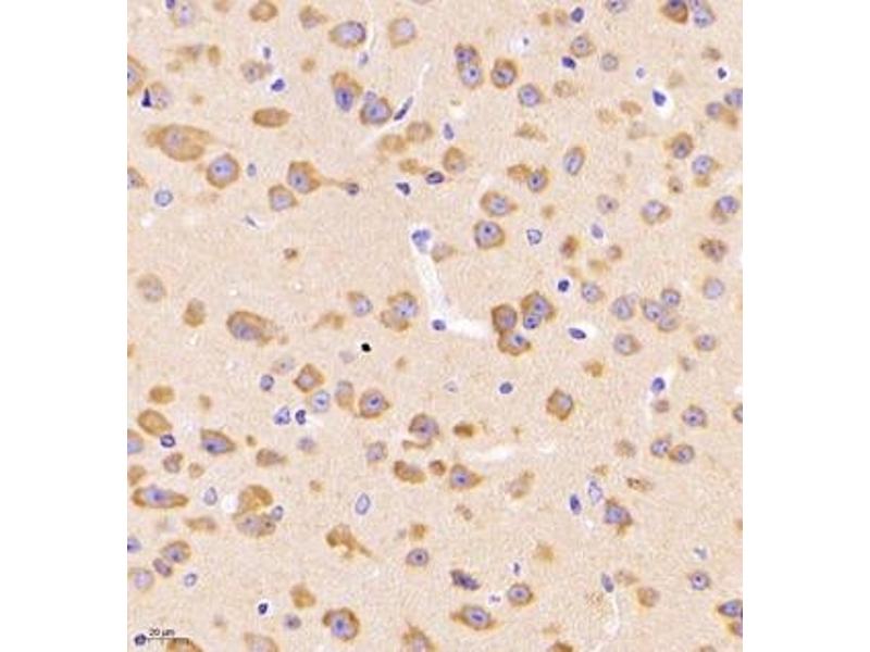
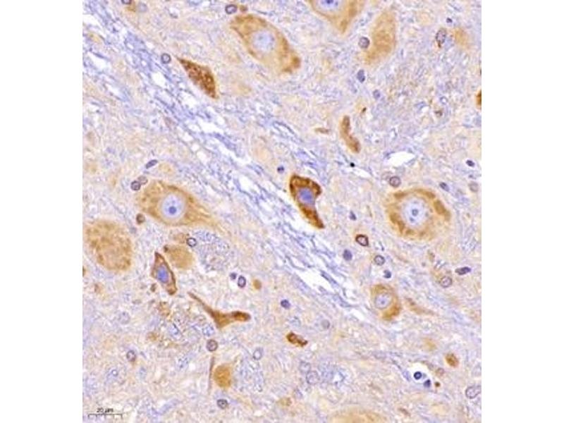
Der Kaninchen Polyklonal anti-DPYSL4 Antikörper (ABIN7073734) detektiert spezifisch DPYSL4 in IHC und IF. Dieser Antikörper reagiert spezifisch mit Proben aus Human, Maus und Ratte.
Produktnummer ABIN7073734
592,31 €
Zzgl. Versandkosten 20,00 € und MwSt
100 μL
Lieferung nach: Deutschland
Lieferung in 13 bis 20 Werktagen

Kurzübersicht für DPYSL4 Antikörper (ABIN7073734)

Target

Alle DPYSL4 Antikörper anzeigen
DPYSL4 (Dihydropyrimidinase-Like 4 (DPYSL4))

Reaktivität

  • 31
  • 13
  • 13
  • 5
  • 5
  • 3
  • 3
  • 3
  • 3
  • 3
  • 2
  • 2
  • 1
  • 1
Human, Maus, Ratte

Wirt

  • 27
  • 4
Kaninchen

Klonalität

  • 27
  • 4
Polyklonal

Konjugat

  • 19
  • 3
  • 2
  • 1
  • 1
  • 1
  • 1
  • 1
  • 1
  • 1
Dieser DPYSL4 Antikörper ist unkonjugiert

Applikation

  • 20
  • 15
  • 3
  • 2
  • 2
  • 2
  • 1
Immunohistochemistry (IHC), Immunofluorescence (IF)
  • Kreuzreaktivität

    Human, Ratte

    Aufreinigung

    Affinity purification

    Immunogen

    Recombinant protein corresponding to Mouse CRMP3
  • Applikationshinweise

    IHC/IF (H,M,R) 1:650-1:4000/1:650-1:1300

    Beschränkungen

    Nur für Forschungszwecke einsetzbar
  • Format

    Liquid

    Buffer

    PBS, pH 7.4, 0.02 % sodium azide

    Konservierungsmittel

    Sodium azide

    Vorsichtsmaßnahmen

    This product contains Sodium azide: a POISONOUS AND HAZARDOUS SUBSTANCE which should be handled by trained staff only.

    Lagerung

    -20 °C
  • Target

    DPYSL4 (Dihydropyrimidinase-Like 4 (DPYSL4))

    Andere Bezeichnung

    CRMP3

    Hintergrund

    CRMP-3 is expressed transiently in developing spinal cord and selectively in the postnatal cerebellum. It is cleaved by Calpain to produce a p54 N-terminal fragment. This cleavage product translocates to the nucleus and induces neuronal death in response to excitotoxicity and cerebral ischemia. Necessary for signaling by class 3 semaphorins and subsequent remodeling of the cytoskeleton. Plays a role in axon guidance, neuronal growth cone collapse and cell migration.

    UniProt

    O35098
Sie sind hier:
Chat with us!