Telefon:
+49 (0)241 95 163 153
Fax:
+49 (0)241 95 163 155
E-Mail:
orders@antikoerper-online.de

CLCA1 Antikörper

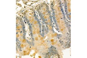
Der Kaninchen Polyklonal anti-CLCA1 Antikörper wird verwendet zum Nachweis von CLCA1 in Proben von Maus und Ratte. Er wurde validiert für IHC und IF.
Produktnummer ABIN7073472
592,31 €
Zzgl. Versandkosten 20,00 € und MwSt
100 μL
Lieferung nach: Deutschland
Lieferung in 13 bis 20 Werktagen

Kurzübersicht für CLCA1 Antikörper (ABIN7073472)

Target

Alle CLCA1 Antikörper anzeigen
CLCA1 (Chloride Channel Accessory 1 (CLCA1))

Reaktivität

  • 24
  • 3
  • 2
Maus, Ratte

Wirt

  • 15
  • 7
  • 2
Kaninchen

Klonalität

  • 17
  • 7
Polyklonal

Konjugat

  • 21
  • 1
  • 1
  • 1
Dieser CLCA1 Antikörper ist unkonjugiert

Applikation

  • 19
  • 12
  • 11
  • 6
  • 5
  • 4
  • 4
  • 2
  • 1
  • 1
Immunohistochemistry (IHC), Immunofluorescence (IF)
  • Kreuzreaktivität

    Ratte

    Aufreinigung

    Affinity purification

    Immunogen

    Recombinant protein corresponding to Mouse CLCA1
  • Applikationshinweise

    IHC/IF (M,R) 1:700-1:1400

    Beschränkungen

    Nur für Forschungszwecke einsetzbar
  • Format

    Liquid

    Buffer

    PBS, pH 7.4, 0.02 % sodium azide

    Konservierungsmittel

    Sodium azide

    Vorsichtsmaßnahmen

    This product contains Sodium azide: a POISONOUS AND HAZARDOUS SUBSTANCE which should be handled by trained staff only.

    Lagerung

    -20 °C
  • Target

    CLCA1 (Chloride Channel Accessory 1 (CLCA1))

    Andere Bezeichnung

    CLCA1

    Hintergrund

    This gene encodes a member of the calcium sensitive chloride conductance protein family. To date, all members of this gene family map to the same region on chromosome 1p31-p22 and share a high degree of homology in size, sequence, and predicted structure, but differ significantly in their tissue distributions. The encoded protein is expressed as a precursor protein that is processed into two cell-surface-associated subunits, although the site at which the precursor is cleaved has not been precisely determined. The encoded protein may be involved in mediating calcium-activated chloride conductance in the intestine.

    Gen-ID

    23844

    NCBI Accession

    NP_059502

    UniProt

    Q9D7Z6
Sie sind hier:
Chat with us!