Telefon:
+49 (0)241 95 163 153
Fax:
+49 (0)241 95 163 155
E-Mail:
orders@antikoerper-online.de

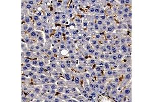
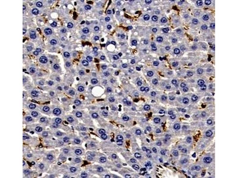
Annexin A3 Antikörper

Der Kaninchen Polyklonal anti-Annexin A3 Antikörper (ABIN7073065) detektiert spezifisch Annexin A3 in WB, IHC und IF. Dieser Antikörper reagiert spezifisch mit Proben aus Human, Maus und Ratte.
Produktnummer ABIN7073065
592,31 €
Zzgl. Versandkosten 20,00 € und MwSt
100 μL
Lieferung nach: Deutschland
Lieferung in 13 bis 20 Werktagen

Kurzübersicht für Annexin A3 Antikörper (ABIN7073065)

Target

Alle Annexin A3 (ANXA3) Antikörper anzeigen
Annexin A3 (ANXA3)

Reaktivität

  • 84
  • 27
  • 22
  • 6
  • 3
  • 3
  • 3
  • 3
  • 2
  • 2
  • 1
Human, Maus, Ratte

Wirt

  • 76
  • 23
Kaninchen

Klonalität

  • 76
  • 21
Polyklonal

Konjugat

  • 63
  • 13
  • 6
  • 2
  • 2
  • 2
  • 2
  • 2
  • 2
  • 2
  • 1
  • 1
  • 1
Dieser Annexin A3 Antikörper ist unkonjugiert

Applikation

  • 74
  • 39
  • 23
  • 19
  • 13
  • 12
  • 9
  • 5
  • 3
  • 3
  • 1
  • 1
  • 1
  • 1
Western Blotting (WB), Immunohistochemistry (IHC), Immunofluorescence (IF)
  • Kreuzreaktivität

    Human, Ratte

    Aufreinigung

    Affinity purification

    Immunogen

    KLH conjugated Synthetic peptide corresponding to Mouse Annexin A3/ANXA3
  • Applikationshinweise

    WB (H,R) 1:500-1:1000, IHC/IF (H,M,R) 1:200-1:1000/1:300-1:600

    Beschränkungen

    Nur für Forschungszwecke einsetzbar
  • Format

    Liquid

    Buffer

    PBS, pH 7.4, 0.02 % sodium azide

    Konservierungsmittel

    Sodium azide

    Vorsichtsmaßnahmen

    This product contains Sodium azide: a POISONOUS AND HAZARDOUS SUBSTANCE which should be handled by trained staff only.

    Lagerung

    -20 °C
  • Target

    Annexin A3 (ANXA3)

    Andere Bezeichnung

    Annexin A3/ANXA3

    Hintergrund

    This gene encodes a member of the annexin family. Members of this calcium-dependent phospholipid-binding protein family play a role in the regulation of cellular growth and in signal transduction pathways. This protein functions in the inhibition of phopholipase A2 and cleavage of inositol 1,2-cyclic phosphate to form inositol 1-phosphate. This protein may also play a role in anti-coagulation.

    Molekulargewicht

    34 kDa

    Gen-ID

    11745

    NCBI Accession

    NP_038498

    UniProt

    O35639
Sie sind hier:
Chat with us!