Telefon:
+49 (0)241 95 163 153
Fax:
+49 (0)241 95 163 155
E-Mail:
orders@antikoerper-online.de

MCOLN1 Antikörper (Intracellular)

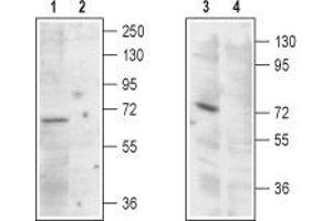
Der Kaninchen Polyklonal anti-MCOLN1 Antikörper wird verwendet zum Nachweis von MCOLN1 in Proben von Maus. Er wurde validiert für WB und IHC.
Produktnummer ABIN7043336
977,85 €
Zzgl. Versandkosten 20,00 € und MwSt
Lieferung nach: Deutschland
Lieferung in 8 bis 9 Werktagen

Kurzübersicht für MCOLN1 Antikörper (Intracellular) (ABIN7043336)

Target

Alle MCOLN1 Antikörper anzeigen
MCOLN1 (Mucolipin 1 (MCOLN1))

Reaktivität

  • 15
  • 4
  • 3
  • 2
  • 2
  • 2
  • 1
  • 1
  • 1
  • 1
  • 1
Maus

Wirt

  • 13
  • 3
Kaninchen

Klonalität

  • 15
  • 1
Polyklonal

Konjugat

  • 13
  • 1
  • 1
  • 1
Dieser MCOLN1 Antikörper ist unkonjugiert

Applikation

  • 15
  • 8
  • 7
  • 3
Western Blotting (WB), Immunohistochemistry (IHC)

Güteklasse

KO Validated
  • Bindungsspezifität

    • 6
    • 3
    • 2
    • 2
    • 1
    • 1
    • 1
    AA 6-19, Intracellular

    Verwendungszweck

    A Rabbit Polyclonal Antibody to TRPML1 (Mucolipin 1) Channel

    Spezifität

    Intracellular, N-terminus (cytoplasmic)

    Kreuzreaktivität

    Human, Maus, Ratte

    Homologie

    Human,rat - 12,14 amino acid residues identical

    Produktmerkmale

    Anti-TRPML1 (Mucolipin 1) Antibody is directed against an epitope of mouse TRPML1. Anti-TRPML1 (Mucolipin 1) Antibody (ABIN7043336, ABIN7044039 and ABIN7044040) can be used in western blot analysis. It has been designed to recognize TRPML1 from human, rat and mouse samples.

    Aufreinigung

    Affinity purified on immobilized antigen.

    Immunogen

    Immunogen: Synthetic peptide

    Immunogen Sequence: (C)GRRASETERLLTPN, corresponding to amino acid residues 6-19 of mouse TRPLM1

    Isotyp

    IgG
  • Applikationshinweise

    Antigen preadsorption control: 1 μg peptide per 1 μg antibody

    Application Dilutions Immunohistochemistry paraffin embedded sections ihc: 1:1000

    Application Dilutions Western blot wb: 1:200

    Kommentare

    Cited Application: IP|ICC

    Negative Control: (ABIN7235971)

    Blocking Peptide: (ABIN7235971)

    Beschränkungen

    Nur für Forschungszwecke einsetzbar
  • Format

    Lyophilized

    Rekonstitution

    0.2 mL double distilled water (DDW).

    Konzentration

    1 mg/mL

    Buffer

    PBS pH 7.4

    Lagerung

    4 °C,-20 °C

    Informationen zur Lagerung

    Storage before reconstitution: The antibody ships as a lyophilized powder at room temperature. Upon arrival, it should be stored at -20°C.

    Storage after reconstitution: The reconstituted solution can be stored at 4°C for up to 1 week. For longer periods, small aliquots should be stored at -20°C. Avoid multiple freezing and thawing. Centrifuge all antibody preparations before use (10000 x g 5 min).

  • Target

    MCOLN1 (Mucolipin 1 (MCOLN1))

    Andere Bezeichnung

    MCOLN1

    Hintergrund

    Mcoln1, Mucolipidin,The endolysosome system takes part in important cellular functions such as membrane trafficking, protein transport, autophagy and signal transduction1. Endosomes result from endocytosis of the plasma membrane and lysosomes (which are derived from late endosomes) conatin mainly hydrolytic enzymes and generally have a low internal pH 1. Like the endoplasmic reticulum (ER), endolysosomes also store Ca2+ (luminal Ca2+ concentration: 0.5 mM)1,2, and similarly to Ca2+ release from the ER, Ca2+ from endolysosomes may also play an important role in various signaling events. To date such candidates include members of the TRP super-family of ion channels and the two-pore Ca2+ channels (TPCs)1,3,4.TRPMLs, also termed mucolipins, are members of the TRP channels. In mammals, three TRPMLs are known to date (TRPML1-3 or MCOLN1-3). They are all localized to endolysosomes, although when over expressed in heterologous systems, TRPML3 is found on the plasma membrane1,5. These channels are Ca2+ permeable and display inward rectifying current properties1,5. Like all members of this family, TRPMLs have six transmembrane domains and intracellular N- and C-termini (relatively short tails compared to other members). They are characterized by an exceptionally large extracellular (luminal) loop between transmembrane domains 1 and 2, and N-glycosylation sites are present in the first extracellular (luminal) loop5.In mammals, TRPML1 is expressed in a ubiquitous manner and shows highest expression in the brain, kidney, spleen, liver and heart1,6. TRPML2 and TRPML3 are less widely expressed. Interestingly, in mouse, two splice variants exist for TRPML2. The shorter variant is more broadly expressed and is dominant over the longer variant in the thymus, spleen and kidney1,7. TRPML3 is highly detected in the thymus, lung, kidney, spleen and eye1,7,8, some epithelial cells1,9 and brain10.Pathologies related to these channels include type IV mucolipidosis, a neurodegenetative disease characterized by retardation and retinal degeneration caused by a loss of function mutation in the gene encoding TRPML1. In contrast, a gain of function mutation in TRPML3, in mice, causes deafness, and pigmentation defects11.

    Alternative names: TRPML1 (Mucolipin 1), Mcoln1, Mucolipidin

    Gen-ID

    94178

    NCBI Accession

    NM_020533

    UniProt

    Q99J21

    Pathways

    Transition Metal Ion Homeostasis
Sie sind hier:
Chat with us!