Telefon:
+49 (0)241 95 163 153
Fax:
+49 (0)241 95 163 155
E-Mail:
orders@antikoerper-online.de

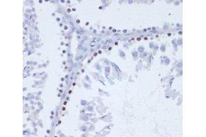
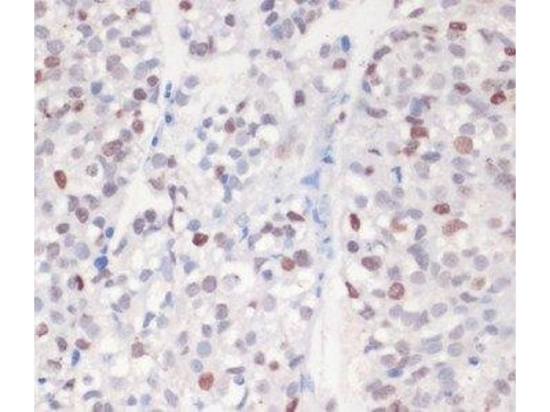
gamma H2AX Antikörper (pSer139)

Der Kaninchen Polyklonal anti-gamma H2AX Antikörper (ABIN7265088) detektiert spezifisch gamma H2AX in IHC und IF. Dieser Antikörper reagiert spezifisch mit Proben aus Human, Maus und Ratte.
Produktnummer ABIN7265088
590,00 €
Zzgl. Versandkosten 20,00 € und MwSt
Lieferung nach: Deutschland
Lieferung in 9 bis 13 Werktagen

Kurzübersicht für gamma H2AX Antikörper (pSer139) (ABIN7265088)

Target

gamma H2AX (GAMMA-H2AX) (gamma Histone Variant H2AX (GAMMA-H2AX))

Reaktivität

  • 10
  • 5
  • 1
  • 1
  • 1
Human, Maus, Ratte

Wirt

  • 8
  • 3
Kaninchen

Klonalität

  • 7
  • 4
Polyklonal

Konjugat

  • 10
  • 1
Dieser gamma H2AX Antikörper ist unkonjugiert

Applikation

  • 10
  • 9
  • 5
  • 5
  • 3
  • 3
  • 2
  • 2
  • 1
  • 1
Immunohistochemistry (IHC), Immunofluorescence (IF)
  • Bindungsspezifität

    • 5
    • 3
    • 1
    • 1
    pSer139

    Produktmerkmale

    Phosphorylated antibody

    Aufreinigung

    Affinity purification

    Immunogen

    A synthetic phosphorylated peptide around S139 of human gammaH2A.X (NP_002096.1).

    Isotyp

    IgG
  • Applikationshinweise

    IHC 1:50-1:100 IF 1:50-1:100

    Beschränkungen

    Nur für Forschungszwecke einsetzbar
  • Format

    Liquid

    Konzentration

    1 mg/mL

    Buffer

    PBS with 0.02 % sodium azide, 50 % glycerol, pH 7.3

    Konservierungsmittel

    Sodium azide

    Vorsichtsmaßnahmen

    This product contains Sodium azide: a POISONOUS AND HAZARDOUS SUBSTANCE which should be handled by trained staff only.

    Lagerung

    -20 °C

    Informationen zur Lagerung

    Store at -20°C. Avoid freeze / thaw cycles.
  • Target

    gamma H2AX (GAMMA-H2AX) (gamma Histone Variant H2AX (GAMMA-H2AX))

    Andere Bezeichnung

    gammaH2A.X

    Hintergrund

    Histones are basic nuclear proteins that are responsible for the nucleosome structure of the chromosomal fiber in eukaryotes. Two molecules of each of the four core histones (H2A, H2B, H3, and H4) form an octamer, around which approximately 146 bp of DNA is wrapped in repeating units, called nucleosomes. The linker histone, H1, interacts with linker DNA between nucleosomes and functions in the compaction of chromatin into higher order structures. This gene encodes a replication-independent histone that is a member of the histone H2A family, and generates two transcripts through the use of the conserved stem-loop termination motif, and the polyA addition motif.

    Gen-ID

    3014

    UniProt

    P16104
Sie sind hier:
Chat with us!