Telefon:
+49 (0)241 95 163 153
Fax:
+49 (0)241 95 163 155
E-Mail:
orders@antikoerper-online.de

MNF1 Antikörper

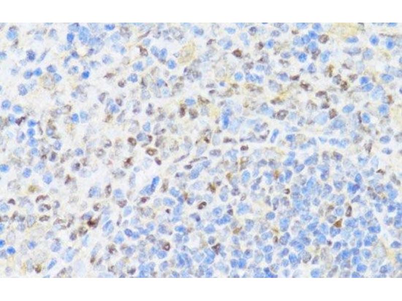
Dieser Kaninchen Polyklonal Antikörper detektiert spezifisch MNF1 in IHC. Es zeigt Reaktivität gegenüber Proben von Human, Maus und Ratte.
Produktnummer ABIN7265000
580,00 €
Zzgl. Versandkosten 20,00 € und MwSt
Lieferung nach: Deutschland
Lieferung in 9 bis 13 Werktagen

Kurzübersicht für MNF1 Antikörper (ABIN7265000)

Target

Alle MNF1 Antikörper anzeigen
MNF1 (Mitochondrial Nucleoid Factor 1 (MNF1))

Reaktivität

Human, Maus, Ratte

Wirt

  • 12
Kaninchen

Klonalität

  • 12
Polyklonal

Konjugat

  • 5
  • 1
  • 1
  • 1
  • 1
  • 1
  • 1
  • 1
Dieser MNF1 Antikörper ist unkonjugiert

Applikation

  • 4
  • 4
  • 2
  • 1
Immunohistochemistry (IHC)
Sie sind hier:
Chat with us!