SUPV3L1 Antikörper
Kurzübersicht für SUPV3L1 Antikörper (ABIN7264972)
Target
Alle SUPV3L1 Antikörper anzeigenReaktivität
Wirt
Klonalität
Konjugat
Applikation
-
-
Produktmerkmale
- Polyclonal Antibody
-
Aufreinigung
- Affinity purification
-
Immunogen
- Recombinant fusion protein of human SUPV3L1 (NP_003162.2).
-
Isotyp
- IgG
-
-
-
-
Applikationshinweise
- WB 1:1000-1:4000 IF 1:50-1:200
-
Beschränkungen
- Nur für Forschungszwecke einsetzbar
-
-
-
Format
- Liquid
-
Konzentration
- 1 mg/mL
-
Buffer
- PBS with 0.02 % sodium azide, 50 % glycerol, pH 7.3
-
Konservierungsmittel
- Sodium azide
-
Vorsichtsmaßnahmen
- This product contains Sodium azide: a POISONOUS AND HAZARDOUS SUBSTANCE which should be handled by trained staff only.
-
Lagerung
- -20 °C
-
Informationen zur Lagerung
- Store at -20°C. Avoid freeze / thaw cycles.
-
-
- SUPV3L1 (Suppressor of Var1, 3-Like 1 (SUPV3L1))
-
Andere Bezeichnung
- SUPV3L1
-
Hintergrund
- SUPV3L1 (Suv3 Like RNA Helicase) is a Protein Coding gene. Diseases associated with SUPV3L1 include Uveoparotid Fever and Neuropathy, Hereditary Motor And Sensory, Russe Type. Gene Ontology (GO) annotations related to this gene include RNA binding.
-
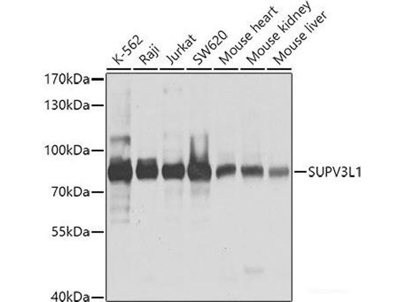
Molekulargewicht
-
Observed_MW: 88 kDa
Calculated_MW: 87 kDa
-
Gen-ID
- 6832
-
UniProt
- Q8IYB8
Target
-