Telefon:
+49 (0)241 95 163 153
Fax:
+49 (0)241 95 163 155
E-Mail:
orders@antikoerper-online.de

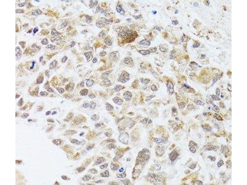
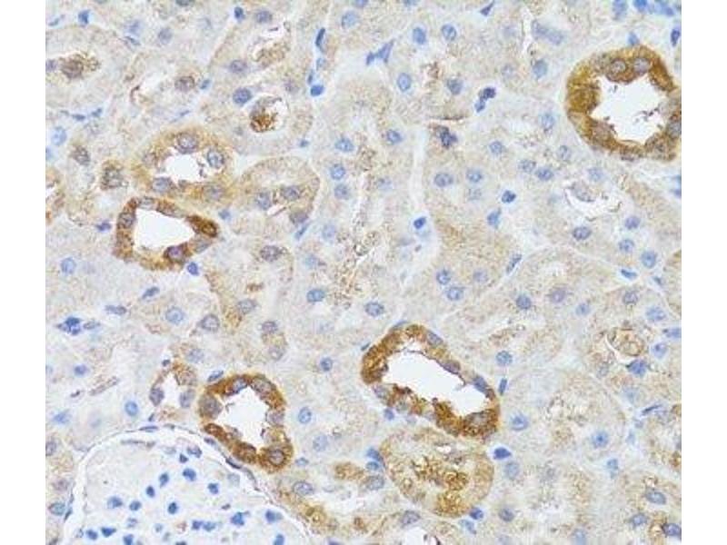
RNASEL Antikörper

Dieser Kaninchen Polyklonal Antikörper detektiert spezifisch RNASEL in IHC. Es zeigt Reaktivität gegenüber Proben von Human, Maus und Ratte.
Produktnummer ABIN7264894
580,00 €
Zzgl. Versandkosten 20,00 € und MwSt
Lieferung nach: Deutschland
Lieferung in 9 bis 13 Werktagen

Kurzübersicht für RNASEL Antikörper (ABIN7264894)

Target

Alle RNASEL Antikörper anzeigen
RNASEL (Ribonuclease L (2',5'-Oligoisoadenylate Synthetase-Dependent) (RNASEL))

Reaktivität

  • 22
  • 12
  • 3
  • 3
  • 2
  • 2
  • 2
  • 2
Human, Maus, Ratte

Wirt

  • 27
  • 4
  • 1
Kaninchen

Klonalität

  • 28
  • 4
Polyklonal

Konjugat

  • 21
  • 3
  • 3
  • 3
  • 1
  • 1
Dieser RNASEL Antikörper ist unkonjugiert

Applikation

  • 24
  • 22
  • 6
  • 1
  • 1
  • 1
  • 1
Immunohistochemistry (IHC)
Sie sind hier:
Chat with us!