Telefon:
+49 (0)241 95 163 153
Fax:
+49 (0)241 95 163 155
E-Mail:
orders@antikoerper-online.de

TOB2 Antikörper

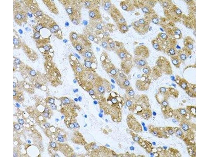
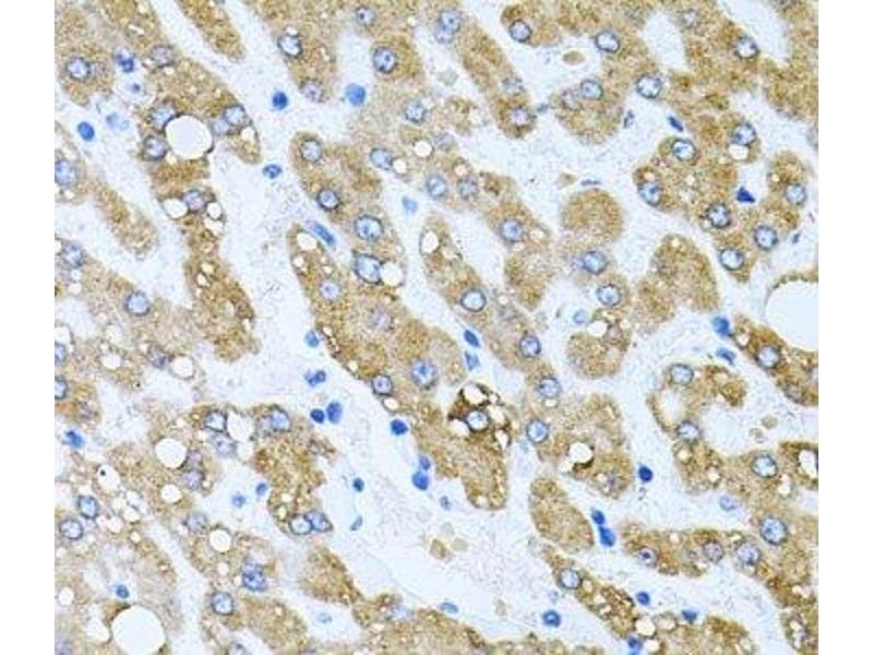
Der Kaninchen Polyklonal anti-TOB2 Antikörper wird verwendet zum Nachweis von TOB2 in Proben von Human, Maus und Ratte. Er wurde validiert für IHC.
Produktnummer ABIN7263213
580,00 €
Zzgl. Versandkosten 20,00 € und MwSt
Lieferung nach: Deutschland
Lieferung in 9 bis 13 Werktagen

Kurzübersicht für TOB2 Antikörper (ABIN7263213)

Target

Alle TOB2 Antikörper anzeigen
TOB2 (Transducer of ERBB2, 2 (TOB2))

Reaktivität

  • 23
  • 7
  • 5
  • 4
  • 4
  • 3
  • 3
  • 3
  • 3
  • 1
  • 1
  • 1
  • 1
  • 1
  • 1
  • 1
Human, Maus, Ratte

Wirt

  • 22
  • 1
Kaninchen

Klonalität

  • 22
  • 1
Polyklonal

Konjugat

  • 18
  • 1
  • 1
  • 1
  • 1
  • 1
Dieser TOB2 Antikörper ist unkonjugiert

Applikation

  • 21
  • 14
  • 13
  • 3
  • 2
  • 2
Immunohistochemistry (IHC)
  • Produktmerkmale

    Polyclonal Antibody

    Aufreinigung

    Affinity purification

    Immunogen

    Recombinant fusion protein of human TOB2 (NP_057356.1).

    Isotyp

    IgG
  • Applikationshinweise

    IHC 1:100-1:200

    Beschränkungen

    Nur für Forschungszwecke einsetzbar
  • Format

    Liquid

    Konzentration

    1 mg/mL

    Buffer

    PBS with 0.02 % sodium azide, 50 % glycerol, pH 7.3

    Konservierungsmittel

    Sodium azide

    Vorsichtsmaßnahmen

    This product contains Sodium azide: a POISONOUS AND HAZARDOUS SUBSTANCE which should be handled by trained staff only.

    Lagerung

    -20 °C

    Informationen zur Lagerung

    Store at -20°C. Avoid freeze / thaw cycles.
  • Target

    TOB2 (Transducer of ERBB2, 2 (TOB2))

    Andere Bezeichnung

    TOB2

    Hintergrund

    TOB2 belongs to the TOB (see TOB1, MIM 605523)/BTG1 (MIM 109580) family of antiproliferative proteins, which are involved in the regulation of cell cycle progression.

    Gen-ID

    10766

    UniProt

    Q14106

    Pathways

    Nuclear Hormone Receptor Binding
Sie sind hier:
Chat with us!