Telefon:
+49 (0)241 95 163 153
Fax:
+49 (0)241 95 163 155
E-Mail:
orders@antikoerper-online.de

TES Antikörper

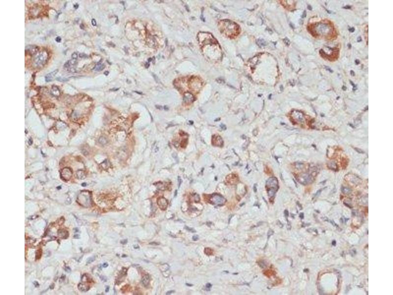
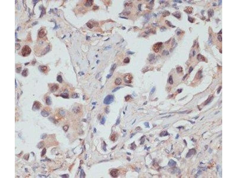
Der Kaninchen Polyklonal anti-TES Antikörper wird verwendet zum Nachweis von TES in Proben von Human und Ratte. Er wurde validiert für IHC.
Produktnummer ABIN7263067
580,00 €
Zzgl. Versandkosten 20,00 € und MwSt
Lieferung nach: Deutschland
Lieferung in 9 bis 13 Werktagen

Kurzübersicht für TES Antikörper (ABIN7263067)

Target

Alle TES Antikörper anzeigen
TES (Testis Derived Transcript (3 LIM Domains) (TES))

Reaktivität

  • 23
  • 2
  • 2
  • 2
  • 2
  • 2
  • 2
  • 1
  • 1
Human, Ratte

Wirt

  • 20
  • 3
Kaninchen

Klonalität

  • 21
  • 2
Polyklonal

Konjugat

  • 15
  • 2
  • 2
  • 2
  • 1
  • 1
Dieser TES Antikörper ist unkonjugiert

Applikation

  • 20
  • 14
  • 5
  • 3
  • 3
Immunohistochemistry (IHC)
Sie sind hier:
Chat with us!