Telefon:
+49 (0)241 95 163 153
Fax:
+49 (0)241 95 163 155
E-Mail:
orders@antikoerper-online.de

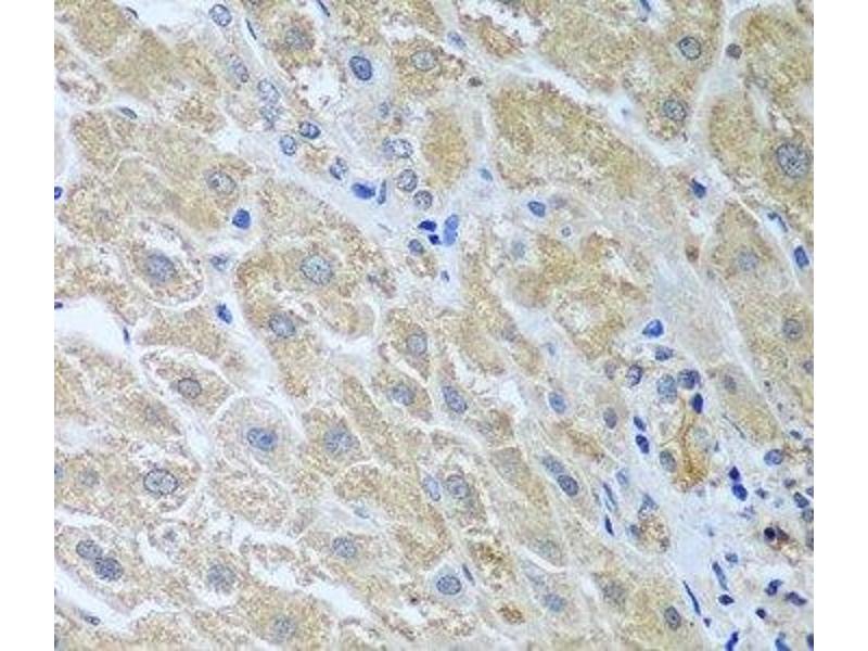
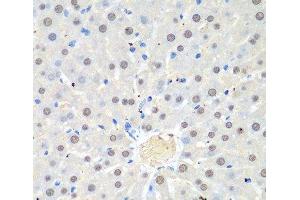
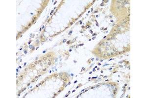
WDR48 Antikörper

Dieser Kaninchen Polyklonal Antikörper detektiert spezifisch WDR48 in IHC. Es zeigt Reaktivität gegenüber Proben von Human, Ratte und Maus.
Produktnummer ABIN7262753
580,00 €
Zzgl. Versandkosten 20,00 € und MwSt
Lieferung nach: Deutschland
Lieferung in 9 bis 13 Werktagen

Kurzübersicht für WDR48 Antikörper (ABIN7262753)

Target

Alle WDR48 Antikörper anzeigen
WDR48 (WD Repeat Domain 48 (WDR48))

Reaktivität

Human, Ratte, Maus

Wirt

  • 18
Kaninchen

Klonalität

  • 18
Polyklonal

Konjugat

  • 13
  • 1
  • 1
  • 1
  • 1
  • 1
Dieser WDR48 Antikörper ist unkonjugiert

Applikation

  • 16
  • 12
  • 11
  • 9
  • 4
  • 1
Immunohistochemistry (IHC)
  • Produktmerkmale

    Polyclonal Antibody

    Aufreinigung

    Affinity purification

    Immunogen

    Recombinant fusion protein of human WDR48 (NP_065890.1).

    Isotyp

    IgG
  • Applikationshinweise

    IHC 1:50-1:100

    Beschränkungen

    Nur für Forschungszwecke einsetzbar
  • Format

    Liquid

    Konzentration

    1 mg/mL

    Buffer

    PBS with 0.02 % sodium azide, 50 % glycerol, pH 7.3

    Konservierungsmittel

    Sodium azide

    Vorsichtsmaßnahmen

    This product contains Sodium azide: a POISONOUS AND HAZARDOUS SUBSTANCE which should be handled by trained staff only.

    Lagerung

    -20 °C

    Informationen zur Lagerung

    Store at -20°C. Avoid freeze / thaw cycles.
  • Target

    WDR48 (WD Repeat Domain 48 (WDR48))

    Andere Bezeichnung

    WDR48

    Hintergrund

    The protein encoded by this gene has been shown to interact with ubiquitin specific peptidase 1 (USP1), activating the deubiquitinating activity of USP1 and allowing it to remove the ubiquitin moiety from monoubiquitinated FANCD2. FANCD2 is ubiquitinated in response to DNA damage.

    Gen-ID

    57599

    UniProt

    Q8TAF3
Sie sind hier:
Chat with us!