Telefon:
+49 (0)241 95 163 153
Fax:
+49 (0)241 95 163 155
E-Mail:
orders@antikoerper-online.de

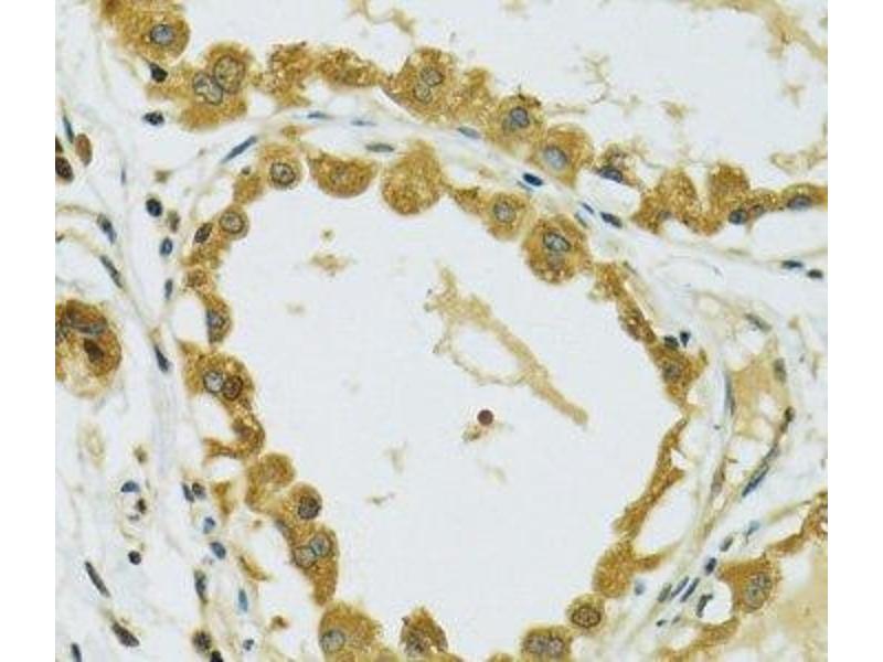
RPS7 Antikörper

Der Kaninchen Polyklonal anti-RPS7 Antikörper (ABIN7262639) detektiert spezifisch RPS7 in IHC und IF. Dieser Antikörper reagiert spezifisch mit Proben aus Human, Maus und Ratte.
Produktnummer ABIN7262639
580,00 €
Zzgl. Versandkosten 20,00 € und MwSt
Lieferung nach: Deutschland
Lieferung in 9 bis 13 Werktagen

Kurzübersicht für RPS7 Antikörper (ABIN7262639)

Target

Alle RPS7 Antikörper anzeigen
RPS7 (Ribosomal Protein S7 (RPS7))

Reaktivität

  • 28
  • 18
  • 10
  • 4
  • 4
  • 3
  • 3
  • 3
  • 2
  • 2
  • 2
  • 1
  • 1
  • 1
Human, Maus, Ratte

Wirt

  • 25
  • 3
Kaninchen

Klonalität

  • 26
  • 2
Polyklonal

Konjugat

  • 17
  • 2
  • 2
  • 1
  • 1
  • 1
  • 1
  • 1
  • 1
  • 1
Dieser RPS7 Antikörper ist unkonjugiert

Applikation

  • 15
  • 10
  • 6
  • 5
  • 2
  • 2
  • 1
Immunohistochemistry (IHC), Immunofluorescence (IF)
  • Produktmerkmale

    Polyclonal Antibody

    Aufreinigung

    Affinity purification

    Immunogen

    Recombinant fusion protein of human RPS7 (NP_001002.1).

    Isotyp

    IgG
  • Applikationshinweise

    IHC 1:50-1:200 IF 1:10-1:100

    Beschränkungen

    Nur für Forschungszwecke einsetzbar
  • Format

    Liquid

    Konzentration

    1 mg/mL

    Buffer

    PBS with 0.02 % sodium azide, 50 % glycerol, pH 7.3

    Konservierungsmittel

    Sodium azide

    Vorsichtsmaßnahmen

    This product contains Sodium azide: a POISONOUS AND HAZARDOUS SUBSTANCE which should be handled by trained staff only.

    Lagerung

    -20 °C

    Informationen zur Lagerung

    Store at -20°C. Avoid freeze / thaw cycles.
  • Target

    RPS7 (Ribosomal Protein S7 (RPS7))

    Andere Bezeichnung

    RPS7

    Hintergrund

    Ribosomes, the organelles that catalyze protein synthesis, consist of a small 40S subunit and a large 60S subunit. Together these subunits are composed of 4 RNA species and approximately 80 structurally distinct proteins. This gene encodes a ribosomal protein that is a component of the 40S subunit. The protein belongs to the S7E family of ribosomal proteins. It is located in the cytoplasm. As is typical for genes encoding ribosomal proteins, there are multiple processed pseudogenes of this gene dispersed through the genome.

    Gen-ID

    6201

    UniProt

    P62081

    Pathways

    Tube Formation
Sie sind hier:
Chat with us!