APLP2 Antikörper
Kurzübersicht für APLP2 Antikörper (ABIN7261415)
Target
Alle APLP2 Antikörper anzeigenReaktivität
Wirt
Klonalität
Konjugat
Applikation
-
-
Produktmerkmale
- Polyclonal Antibody
-
Aufreinigung
- Affinity purification
-
Immunogen
- Recombinant fusion protein of human APLP2 (NP_001135750.1).
-
Isotyp
- IgG
-
-
-
-
Applikationshinweise
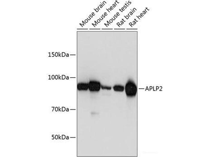
- WB 1:500-1:2000
-
Beschränkungen
- Nur für Forschungszwecke einsetzbar
-
-
-
Format
- Liquid
-
Konzentration
- 1 mg/mL
-
Buffer
- PBS with 0.02 % sodium azide, 50 % glycerol, pH 7.3
-
Konservierungsmittel
- Sodium azide
-
Vorsichtsmaßnahmen
- This product contains Sodium azide: a POISONOUS AND HAZARDOUS SUBSTANCE which should be handled by trained staff only.
-
Lagerung
- -20 °C
-
Informationen zur Lagerung
- Store at -20°C. Avoid freeze / thaw cycles.
-
-
- APLP2 (Amyloid beta (A4) Precursor-Like Protein 2 (APLP2))
-
Andere Bezeichnung
- APLP2
-
Hintergrund
- This gene encodes amyloid precursor- like protein 2 (APLP2), which is a member of the APP (amyloid precursor protein) family including APP, APLP1 and APLP2. This protein is ubiquitously expressed. It contains heparin-, copper- and zinc- binding domains at the N-terminus, BPTI/Kunitz inhibitor and E2 domains in the middle region, and transmembrane and intracellular domains at the C-terminus. This protein interacts with major histocompatibility complex (MHC) class I molecules. The synergy of this protein and the APP is required to mediate neuromuscular transmission, spatial learning and synaptic plasticity. This protein has been implicated in the pathogenesis of Alzheimer's disease. Multiple alternatively spliced transcript variants encoding different isoforms have been identified.
-
Molekulargewicht
-
Observed_MW: 87 kDa
Calculated_MW: 59 kDa/79 kDa/80 kDa/85 kDa/86 kDa/87 kDa
-
Gen-ID
- 334
-
UniProt
- Q06481
-
Pathways
- EGFR Signaling Pathway, Transition Metal Ion Homeostasis, Feeding Behaviour
Target
-