Telefon:
+49 (0)241 95 163 153
Fax:
+49 (0)241 95 163 155
E-Mail:
orders@antikoerper-online.de

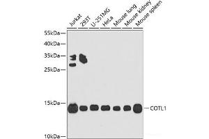
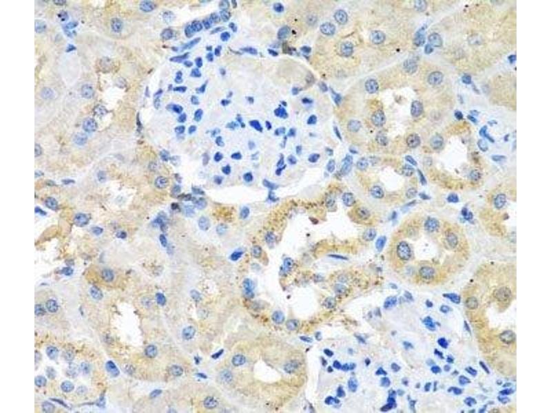
COTL1 Antikörper

Dieser Kaninchen Polyklonal Antikörper detektiert spezifisch COTL1 in WB und IHC. Es zeigt Reaktivität gegenüber Proben von Human, Maus und Ratte.
Produktnummer ABIN7261090
580,00 €
Zzgl. Versandkosten 20,00 € und MwSt
Lieferung nach: Deutschland
Lieferung in 9 bis 13 Werktagen

Kurzübersicht für COTL1 Antikörper (ABIN7261090)

Target

Alle COTL1 Antikörper anzeigen
COTL1 (Coactosin-Like Protein)

Reaktivität

  • 43
  • 9
  • 5
  • 2
  • 2
  • 2
  • 2
  • 1
  • 1
  • 1
Human, Maus, Ratte

Wirt

  • 33
  • 8
  • 3
Kaninchen

Klonalität

  • 37
  • 7
Polyklonal

Konjugat

  • 27
  • 5
  • 4
  • 3
  • 2
  • 2
  • 1
Dieser COTL1 Antikörper ist unkonjugiert

Applikation

  • 32
  • 26
  • 22
  • 14
  • 6
  • 6
  • 6
  • 5
  • 2
  • 1
  • 1
Western Blotting (WB), Immunohistochemistry (IHC)
  • Produktmerkmale

    Polyclonal Antibody

    Aufreinigung

    Affinity purification

    Immunogen

    Recombinant fusion protein of human COTL1 (NP_066972.1).

    Isotyp

    IgG
  • Applikationshinweise

    WB 1:500-1:2000 IHC 1:50-1:100

    Beschränkungen

    Nur für Forschungszwecke einsetzbar
  • Format

    Liquid

    Konzentration

    1 mg/mL

    Buffer

    PBS with 0.02 % sodium azide, 50 % glycerol, pH 7.3

    Konservierungsmittel

    Sodium azide

    Vorsichtsmaßnahmen

    This product contains Sodium azide: a POISONOUS AND HAZARDOUS SUBSTANCE which should be handled by trained staff only.

    Lagerung

    -20 °C

    Informationen zur Lagerung

    Store at -20°C. Avoid freeze / thaw cycles.
  • Target

    COTL1 (Coactosin-Like Protein)

    Andere Bezeichnung

    COTL1

    Hintergrund

    This gene encodes one of the numerous actin-binding proteins which regulate the actin cytoskeleton. This protein binds F-actin, and also interacts with 5-lipoxygenase, which is the first committed enzyme in leukotriene biosynthesis. Although this gene has been reported to map to chromosome 17 in the Smith-Magenis syndrome region, the best alignments for this gene are to chromosome 16. The Smith-Magenis syndrome region is the site of two related pseudogenes.

    Molekulargewicht

    Observed_MW: 14 kDa

    Calculated_MW: 15 kDa

    Gen-ID

    23406

    UniProt

    Q14019
Sie sind hier:
Chat with us!